Імплантація зубів у Києві
Процедура імплантації – це швидкий, сучасний та безпечний метод відновлення архітектури усмішки. Ще 10 років тому з процедурою асоціювалось безліч упереджень та побоювань. Але сьогодні в арсеналі лікарів є велика добірка атравматичних методик, матеріалів та методів реабілітації, які роблять імплантацію абсолютно рутинною процедурою. У мережі стоматологій РЕФЕРТА процедура імплантації виконується за сучасними протоколами з використанням преміальних матеріалів. Ви можете бути впевнені у виключній безпеці виконання та сяючому результаті процедури.

Показання до виконання імплантації
- Відсутність одного або декількох зубів
- Аномалії розвитку, що супроводжуються адентією
- Неможливість використання знімних зубних протезів
- Потреба в підтримці архітектури обличчя та збереженні кісткової маси
Протипоказання до процедури
- Як і до будь-якої інвазивної процедури до імплантації зубів існує ряд протипоказань:
- Мала товщина кістки у зоні протезування
- Аномальне розташування нервів та судин в області майбутньої імплантації, що підвищує ризики масивної кровотечі чи втрати функціональності
- Системні захворювання, що перешкоджають загоєнню ран (цукровий діабет, новоутворення, імунодефіцит, гепатити з важким перебігом тощо)
- Вагітність
Етапи імплантації зуба

Діагностичний етап
Це важливий етап підготовки до процедури, від якого напряму залежить швидкість відновлення та якість приживлення імплантату. Діагностичний етап включає:
- збір анамнезу про загальний стан здоров’я пацієнта, перенесені захворювання, причини втрати зубів, шкідливі звички, гігієнічні звички та очікування від імплантації
- огляд зубів та ротової порожнини з оцінкою стану зубного ряду, ясен, прикусу
- виконання рентгенограми та КТ запланованого місця імплантації для визначення щільності щелепної кістки, ступеня її атрофії, наявності можливих патологічних вогнищ
- планування етапів імплантації та моделювання зовнішнього вигляду майбутнього зубного ряду
- розрахунок вартості процедури
Хірургічна імплантація
У випадку, якщо товщина щелепної кістки недостатня виконується трансплантація кісткового блоку або синус-ліфтинг. Завдяки цим втручанням створюються умови для приживлення імплантату.
Хірургічний етап проходить під місцевою анестезією або в умовах медикаментозного сну. Після надрізу ясен і оголення щелепної кістки в місці імплантації стоматолог виконує остеотомію (отвір для імплантату) за допомогою свердел різного діаметра, поступово розширюючи місце імплантації. Остаточний остеотомічний отвір відповідає товщині та довжині імплантату, який буде в нього встановлений. Імплантат фіксується у кістці, після чого відбувається ушивання зони втручання.
При негайній одноетапній процедурі імплантат встановлюється в кістку відразу після видалення зуба, а на абатмент імплантату встановлюється тимчасова коронка. Тимчасова коронка замінюється на порцелянову коронку після періоду повного приживлення імплантату. Цей варіант процедури є менш травматичним для кісткової тканини та має значно менший період відновлення. Лікарі РЕФЕРТА досконало володіють цією методикою, завдяки чому наші пацієнти значно скорочують свій шлях до омріяної усмішки.
У випадку, коли імплантація виконується за стандартною методикою у два етапи процедура буде в першу чергу відрізнятись строками відновлення. Після остеотомії відбувається встановлення імплантату з ушиванням навколишніх тканин. Після цього пацієнт очікує на загоєння тканин та приживлення імплантату (остеоінтеграція триває у середньому до 10 тижнів) та тільки після цього переходить до етапу встановлення коронки.
Реабілітація після процедури
Реабілітація після процедури імплантації зуба може тривати кілька тижнів до кількох місяців. У перші дні після процедури, окрім локального дискомфорту можуть відмічатись підвищення температури тіла, слабкість, незначний набряк у зоні втручання. Окрім вживання ліків за схемою, які призначив лікар, у період відновлення важливо дотримуватися правильної гігієни ротової порожнини, щоб уникнути інфекцій та сприяти швидшому загоєнню слизових у зоні втручання.
Пам’ятайте, що тривалість та особливості перебігу періоду реабілітації можуть варіюватися залежно від індивідуальних особливостей пацієнта, стану його здоров’я та складності процедури імплантації. Важливо дотримуватись рекомендацій лікаря, вчасно проходити контрольні огляди та не відкладати візит до лікаря за наявності тривожних симптомів (підвищення температури понад 37,5 С, виражений пульсуючий біль у зоні втручання, виражена слабкість, виражений локальний набряк тощо).
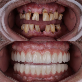
Чи можливе повне відновлення зубного ряду за допомогою імплантатів?
Найшвидше повне відновлення архітектури усмішки у разі повної відсутності зубів забезпечує метод All-on-4 або All-on-6. Цей метод дозволяє прикріпити міст з зубної дуги на чотирьох або шести безпосередніх імплантатах. Остаточна реставрація коронками відбувається після завершення процесу остеоінтеграції (приблизно через 3-6 місяців).
На завершення
Записатись на діагностику та імплантацію зубів можна через форму зворотного зв’язку нижче або за номерами:
Філія на Славутичі: 0 800 331 555
Філія на Позняках: 0 800 332 555
РЕФЕРТА: здорова усмішка – це просто!