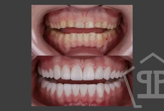
Бездоганна усмішка давно перестала бути привілеєм кіноакторів чи публічних осіб. Керамічні вініри дозволяють кожному отримати рівні, білі, природні на вигляд зуби. Але багатьох турбує питання – скільки коштує естетична реставрація? Розберемо всі фактори, що впливають на ціну, та розповімо, як можна зекономити без втрати якості.
Що впливає на ціну вінірів?
Ціна на вініри варіюється на основі декількох основних параметрів. Підсумкова вартість визначається такими критеріями:
- Матеріали, технології. Керамічні накладки виробляються з медичної порцеляни, яка вирізняється високою естетичністю та довговічністю. Процес виробництва включає комп’ютерне моделювання, використання сучасних CAD/CAM-технологій, випалення в спеціальних печах. Високотехнологічний процес і дорогий в закупівлі матеріал відображається на ціні, але забезпечує бездоганний результат.
- Кількість одиниць. Кераміку встановлюють не на окремі зуби, а на кілька одиниць поспіль. Для гармонійної усмішки потрібно враховувати не лише відтінок, а й форму сусідніх зубів.
- Складність випадку. Якщо зуби потребують попереднього лікування, виправлення прикусу, спеціальної підготовки (наприклад, видалення старих пломб), це також впливає на ціну.
- Місце виготовлення. Часто стоматології замовляють мікропротези у зовнішніх лабораторіях або у приватних техніків, що підвищує вартість процедури. Якщо ж клініка має власне виробництво, як у нашій стоматології, витрати на цій статті розходів знижуються.

Різні підходи до реставрації
Термін «вініри» часто застосовують для композитної реставрації. Однак це зовсім інший метод, адже форма зуба створюється стоматологом прямо у кабінеті без участі лабораторії. Відповідно, цінова політика різна.
Композитні реставрації доступніші за ціною, адже виготовляються з фотополімерного матеріалу. Вони вартують у 3–4 рази менше за кераміку. Проте композит має обмежений термін служби. Через декілька років матеріал може втратити блиск, змінити колір через вживання пігментованих напоїв тощо. Отже, доведеться знову звертатися до лікаря за оновленням вигляду. Якщо потрібен довготривалий естетичний результат, керамічні вініри залишаються кращим, хоч і дорожчим, вибором.

Скільки вінірів ставити?
Очевидно, що першочергово кінцева вартість вінірінгу залежатиме від кількості використаних накладок. Варіанти реставрації за кількістю накладок:
- Зони усмішки. Найчастіше це 6–10 зубів у верхньому ряду, які помітні під час розмови чи усмішки.
- Повна реставрація. Включає верхній і нижній ряди, покращує не тільки зовнішній вигляд, а й забезпечує правильний прикус при незначних відхиленнях оклюзії.
- Корекція проблемної зони. У деяких випадках достатньо встановити 4–6 одиниць для корекції найбільш видимих зубів.

Ціна вінірів у стоматології РЕФЕРТА
Керамічні мікропротези виготовляються у нашій лабораторії, що дозволяє пропонувати одну з найкращих цін у Києві. Так, вінір E-max коштує від 10850 грн, IPS Empress CAD – від 12750 грн, CEREC – від 13450 грн. Кількість реставрацій прямо позначається на кінцевій сумі.
*Вказані в статті ціни актуальні на кінець 2024 року.
Як зекономити на вінірах?
Декілька корисних порад для розумних вкладень в естетику:
- Обирайте клініку з власною лабораторією. Відсутність витрат на посередників дозволяє отримати високу якість за доступною ціною.
- Зафіксуйте ціну у плані лікування. Стоматологія РЕФЕРТА пропонує фіксацію вартості всього курсу лікування. Так ціна залишиться незмінною навіть за умов інфляції чи інших економічних змін.
- Вибирайте часткову реставрацію. При обмеженому бюджеті можна відреставрувати лише найпомітніші верхньої щелепи. Результат вийде естетичним, а витрати – меншими.
- Слідкуйте за акційними пропозиціями. Підпишіться на соціальні мережі, щоб вчасно відстежувати акції.

Вініри у РЕФЕРТА – справедлива ціна за преміальну якість
У нас працюють досвідчені ортопеди-естетисти. Ми пропонуємо пацієнтам преміальні керамічні реставрації за чесною ціною. Завдяки власній лабораторії ми ретельно контролюємо виробничі процеси, гарантуючи точність, довговічність і природний вигляд кожного виробу. Пацієнт отримує персоналізоване рішення, яке відповідає потребам і побажанням.
Керамічні вініри в РЕФЕРТА – вигідний вклад в естетику усмішки без переплат.