фісури⋅⋅⋅
Фісурний карієс – лікування у дорослих та дітей

Фісурний карієс – лікування у дорослих та дітей

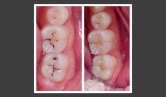
Фісурний карієс відноситься до поширених стоматологічних проблем, особливо у дітей і підлітків, хоча нерідко діагностується й у дорослих. Початкова стадія нерідко протікає без симптомів, а поглиблене руйнування дентину окрім пломбування потребуватиме складнішого відновлення. ...

Читати далі
У Вас виникли питання? Залиште номер телефону!
Ми зателефонуємо Вам за декілька хвилин!


    Контакти⋅⋅⋅
    Київ, вул. Сімферопольська 19/1
    Стоматолог Позняки
    Прокласти маршрут
    Пн. - Пт. 9:00 - 20:30
    Сб. 9:00 - 17:00
    Нд. Вихідний
    0 800 332 555 Детальніше про філію
    Стоматологія РЕФЕРТА на Позняках
    Київ, вул. Садова 136-а, буд.2
    Стоматолог Осокорки
    Прокласти маршрут
    Пн. - Пт. 9:00 - 20:30
    Сб. 9:00 - 17:00
    Нд. Вихідний
    0 800 331 555 Детальніше про філію
    Стоматологія РЕФЕРТА на Славутичі
    Залишити відгук


      Запис на курс


        Дякую за звернення!

        Вашу заявку прийнято, зв'яжемося найближчим часом.

        Дякуємо за відгук!

        Ми робимо все, щоб перевершувати Ваші очікування :)

        Дякуємо, що обираєте Навчальний центр РЕФЕРТА!

        Адміністратор зв'яжеться з вами найближчим часом для обговорення деталей.

        Нагору