На відміну від темних каріозних уражень, плями білого кольору на зубах доволі складно помітити на бічних поверхнях та ділянках біля ясен. Зміни в структурі емалі можуть бути наслідком як деяких загальних відхилень, так і сигналом про появу карієсу.
Чому з’являються білі плями?
Здорова емаль має рівномірний напівпрозорий колір і блиск. Поява матових, схожих на крейду ділянок свідчить про зміни в її структурі. Найчастіше проблема пов’язана з порушенням мінерального складу емалі та локальним зовнішнім впливом.
Зчаста білі утворення виникають внаслідок таких чинників:
- агресивний вплив кислот при розщепленні вуглеводів бактеріями;
- надлишок фтору;
- порушення формування емалі в дитинстві;
- знижений природний захист через ослаблення організму;
- недоліки гігієни, особливо у важкодоступних зонах.
Однакова на вигляд пляма може мати різне походження, тому самостійна візуальна оцінка не дасть правдивої відповіді – стоматолог-терапевт Київ має оглянути зуби під направленим світлом лампи та провести діагностику.

Про які захворювання свідчать?
Білі плями на зубах – не самостійна хвороба, а прояв певної патології:
- Флюороз. Розвивається при надлишковому надходженні фтору в період утворення емалі. Дефекти мають симетричне розташування, уражають по кілька зубів одночасно, не зникають після професійного чищення.
- Карієс. Найпоширеніша причина появи матових білих ділянок. Емаль втрачає мінеральні елементи, стає пористою, але поверхня ще лишається інтактною (без порожнини).
- Гіпоплазія емалі. Вроджена патологія, через яку емаль не розвивається належним чином, має борозенки, нерівності, заглиблення. Дефекти переважно білі та жовтуваті, мають чіткі межі.
- Демінералізація після ортодонтичної корекції. Тривале накопичення нальоту біля брекетів призводить до локального зниження щільності емалі.
- Ксеростомія. Знижене слиновиділення призводить до сухості в роті. Слина не очищує зуби від бактерій та кислот, тому емаль стає вразливою.
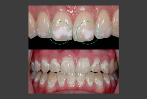
Білі плями як ранній прояв карієсу
Початковий карієс часто розвивається без симптомів. Спочатку спостерігається характерна біла пляма, що краще візуалізується після висушування зуба. Поверхня втрачає прозорість через втрату мінералів.
Небезпека карієсу на стадії плями полягає у прогресуванні. Без лікування демінералізація переходить у каріозну порожнину. У такому випадку лікування карієсу Київ потребуватиме препарування тканин. Водночас на ранньому етапі можна стабілізувати ситуацію ремінералізаційною терапією без свердління та пломбування.
Чи завжди білі плями небезпечні?
Поява білої плями не обов’язково сигналізує про карієс. Так, при флюорозі та гіпоплазії білуваті ділянки не прогресують у руйнування емалі. Однак проблема не обмежується естетикою. Ослаблена емаль менш стійка до кислотного навантаження, тому швидше ушкоджується. Отже, на фоні ослаблення тканин знову ж таки підвищується ризик карієсу, тому пацієнтам з білими плямами рекомендовано регулярне стоматологічне спостереження.
Лікування білих плям на зубах
Залежно від причини й глибини плям сучасна стоматологія застосовує 2 підходи: відновлення структури тканин або маскування дефекту.
Найчастіше застосовуються такі методи:
- ремінералізаційна терапія препаратами на основі калію та фосфатів;
- інфільтрація методом ICON – пори емалі заповнюються без свердління;
- вирівнювання кольору професійним відбілюванням при поверхневих дефектах;
- композитна реставрація у разі порушення естетики декількох зубів;
- встановлення керамічних вінірів при візуальних недоліках на 4-х і більше зубах.
Метод функціонального відновлення зуба базується на клінічній картині та результатах діагностики. Що стосується естетичної реставрації, пацієнт може обрати варіант за зовнішніми очікуваннями та бюджетом.
Як прибрати плями від брекетів?
Вдягаючи брекети, пацієнти очікують рівну гармонійну усмішку, а візуальні недоліки після зняття псують враження. Чітко окреслені світлі ділянки навколо замочків формуються внаслідок тривалого утримання нальоту. У такому випадку стоматолог оцінює глибину ураження та обирає метод корекції. У багатьох випадках реально досягти значного покращення без інвазивного втручання: курсом ремінералізації, відбілюванням.
Профілактикою виступає регулярне чищення зони прикріплення брекетів спеціальним потовщеним флосом, а також вчасне проходження професійної гігієни в стоматології. Чистка зубів Київ ціна доступна, у той час, як лікування множинного карієсу та естетична реставрація обійдеться значно дорожче.
На завершення
Не ігноруйте появу білих плям на зубах, навіть якщо вони не у фронтальній ділянці та не доставляють дискомфорту. На початковому етапі існує більше методик для зупинки процесу без складного лікування. Запишіться на консультацію до стоматолога-терапевта в РЕФЕРТА, під час якої лікар визначить природу змін, оцінить ризики та запропонує персоналізовану тактику лікування.