Правильная постановка диагноза – залог успешного лечения в любом направлении медицины, и стоматология не исключение. Если кариозные полости или трещины эмали можно заметить при визуальном осмотре, многие угрожающие патологии развиваются незаметно. Положение и строение корней, структуру костей и связок можно увидеть только с помощью аппаратных исследований.

Основные виды диагностики в стоматологии
Точное определение стоматологической болезни происходит благодаря комплексу исследований. Диагностика проводится перед любой процедурой, за исключением разве что профессиональной гигиены или отбеливания, хотя даже в эстетической стоматологии важно исключить отсутствие скрытых деструктивных процессов. Давайте рассмотрим основные диагностические методики.
Осмотр ротовой полости
Визит к стоматологу начинается с визуального осмотра. Врач оценивает состояние зубного ряда и слизистых оболочек. Труднодоступные участки подсвечиваются лампой и осматриваются с использованием зеркала. Во время обследования выявляются воспалительные процессы, количество пломб, явные отклонения прикуса. Для полной клинической картины полученных данных недостаточно. Обычно осмотр сочетается с консультацией, которую в «Реферта» можно пройти бесплатно при первичном обращении.

Компьютерная томография
Самый точный диагностический метод по состоянию на сегодня. Томограф послойно сканирует челюсть. Полученные изображения формируют трехмерную модель, которую можно рассматривать под разными углами в компьютерной программе. На мониторе сразу видно строение зубов, структуру костей и мягких тканей, расположение нервов в каналах. Сканирование на томографе позволяет выявить даже незначительные воспаления в пародонте. Пройти КТ зубов Киев можно непосредственно в нашей клинике, не посещая других медицинских учреждений, что значительно экономит время. В отличие от рентгена, томография отображает состояние мягких структур, а не только костей.

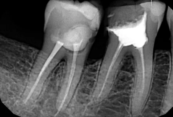
Прицельный снимок (радиовизиография)
Рентген конкретного участка необходим для уточнения диагноза и более контролируемого лечения, например, если нужно установить положение корней конкретного зуба мудрости относительно других зубов в ряду. Снимок выполняется методом радиовизиографии. Полученное изображение снимается датчиком и передается на компьютер. Врач будет иметь доступ к результатам обследования в любой момент. Рентген зубов Киев, сделанный в нашей стоматологии, сохраняется в цифровой карточке пациента и может быть отправлен на цифровой носитель.
Панорамный снимок (ортопантомограмма)
Панорамный снимок демонстрирует строение всей челюсти, что необходимо при планировании имплантации, протезирования, коррекции прикуса. Строение зубов, челюстные кости и суставы присутствуют на одном изображении, что очень удобно для комплексной оценки ситуации. Ортопантограмма также отображает скрытый кариес, апикальные кисты, гайморовы пазухи. По уровню излучения безопаснее сделать один панорамный, чем несколько прицельных снимков.
Показания к ортопантомограмме:
- выявление ретинированных зубов;
- планирование экстракции;
- диагностика кариеса, гранулем, кист;
- контроль лечения.

Дополнительные методы исследований
Кроме основных распространенных методик применяются узконаправленные обследования:
- Электроодонтодиагностика. Путем подачи тока определяется, имеет ли зуб живой нерв. Процедура не вызывает боли. Пациент ощущает тепло или покалывание в зоне воздействия.
- Проверка апекслокатором. Электронное устройство определяет длину корневых каналов во время эндодонтического лечения. Это дополнительный метод исследования, который используется в паре с рентгенографией.
- Диагностика дентальным микроскопом. Применяется при лечении каналов, в некоторых хирургических вмешательствах. С помощью оптического устройства врач детально видит малейшие разветвления, деликатно очищает зуб от инфекции без потери здоровых тканей.

Где пройти дентальную диагностику в Киеве?
Стоматологический центр «Реферта» предоставляет широкий спектр терапевтических, хирургических, ортодонтических услуг, высокое качество которых зависит от профессиональной диагностики. Именно поэтому наши филиалы оснащены передовым оборудованием: томографами Vtech pax-i3d smart, сканерами 3Shape TRIOS 3, дентальными микроскопами МД-500 Calipso. Диагностика происходит перед началом и после завершения лечения. При необходимости стоматолог Осокорки назначит промежуточные исследования для контроля эффективности процедур. Все результаты обследований сохраняются для контроля состояния зубов во время будущих визитов.