Наши роботы

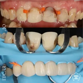
Фиксация керамических коронок

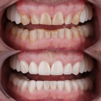
Клинический кейс комплексной реабилитации: проведена имплантация с последующим протезированием коронками, установлены коронки во фронтальном участке, виниры на нижние зубы и восстановлена ​​высота прикуса. В результате восстановлена ​​жевательная эффективность, стабилизированный прикус, равномерное распределение нагрузки и эстетическая улыбка.

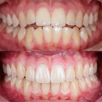
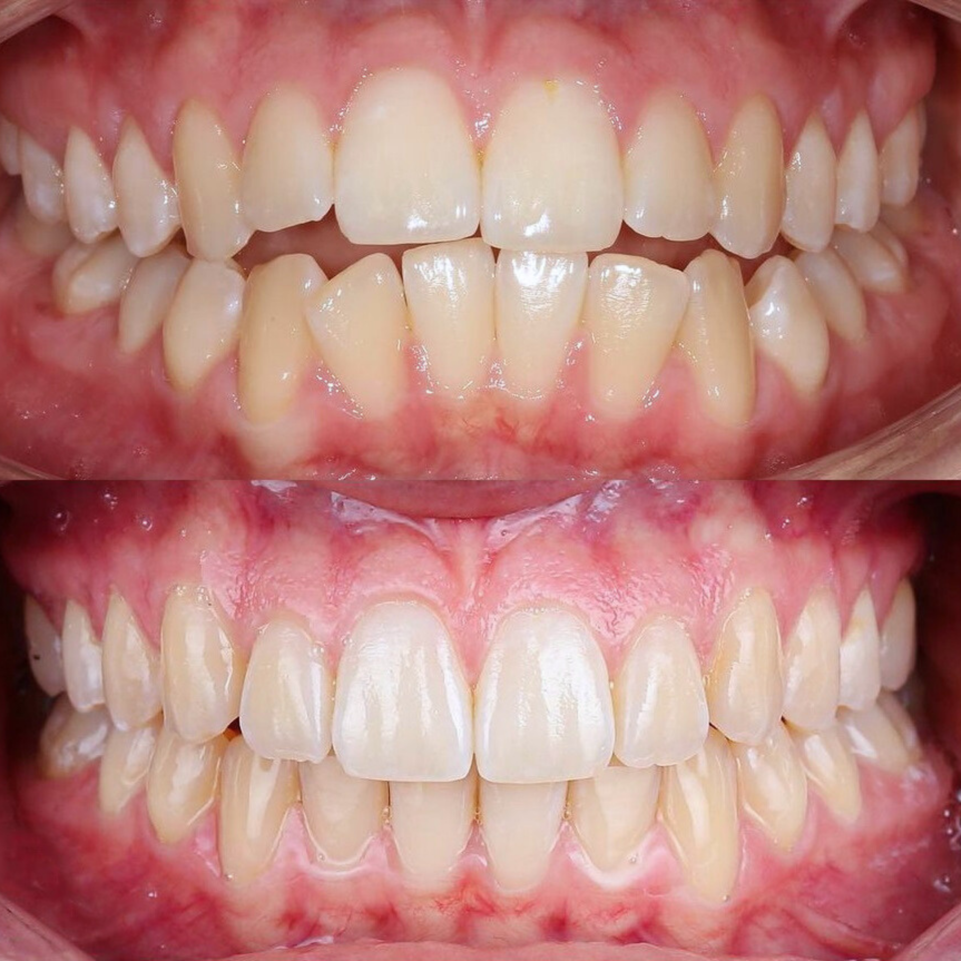
Произведена комплексная эстетическая реабилитация улыбки. Восстановлены правильные пропорции зубов, улучшено цвет и форму, гармонизирована улыбка с чертами лица. Сохранен максимальный объем собственных тканей — достигнут естественный и гармоничный результат.

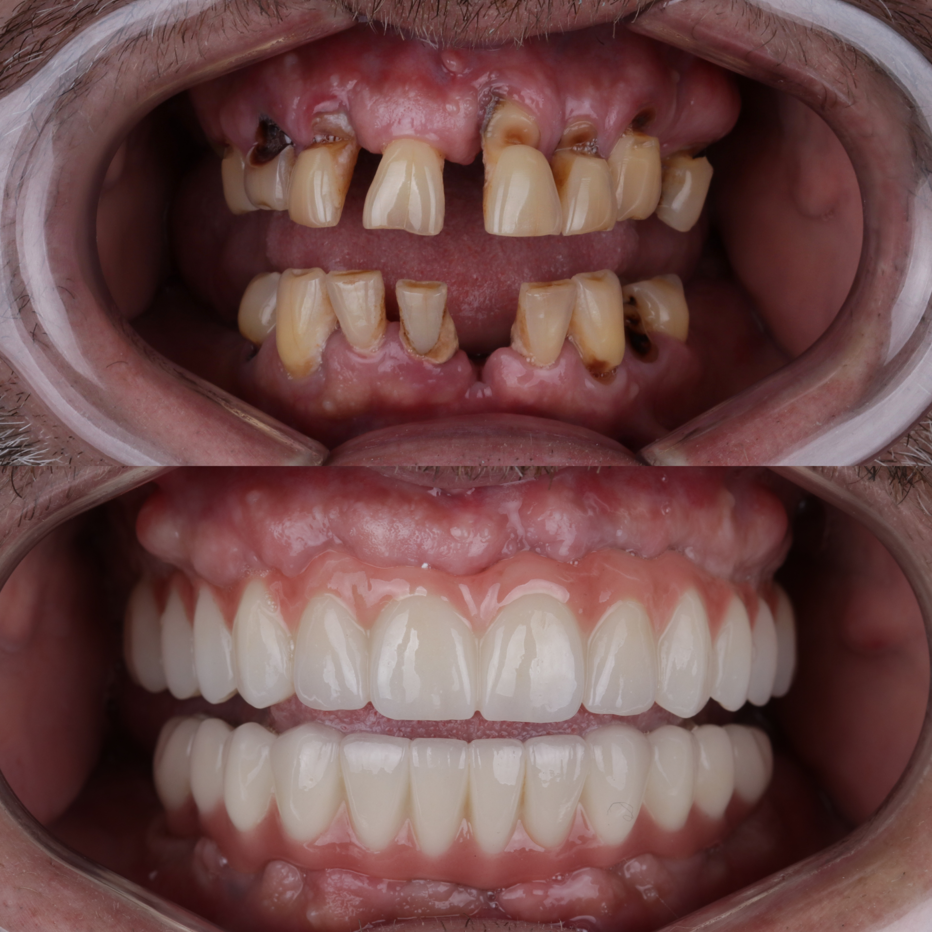
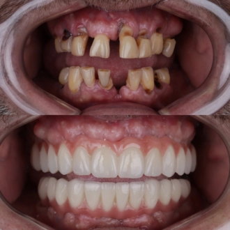
Тотальна реставрація керамічними вінірами. У пацієнта були встановлені імплантати в іншій клініці. Проведено тотальне протезування верхньої та нижньої щелеп. Протезовано центральну групу фронтальних зубів. Піднято висоту прикусу. Видовжено коронкову частину зубів для досягнення гармонійних пропорцій.

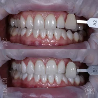
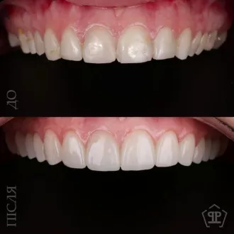
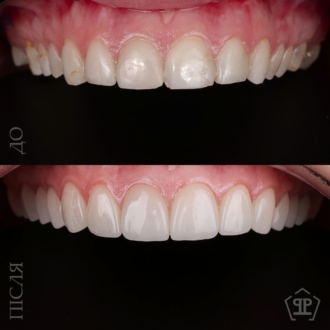
Произведено: диагностику, цифровую планировку улыбки, моделирование формы зубов, минимально инвазивную подготовку, установку керамических реставраций E-max. Результат: гармоничная форма зубов, естественный цвет и прозрачность, правильная длина резцов, более открытая и выразительная улыбка с сохранением собственных тканей зуба.

Произведено глобальное поднятие высоты прикуса на 3 мм. Восстановлена функциональная анатомия зубов. Осуществлено эстетическое восстановление улыбки: удлинены зубы, увеличена коронковая часть, выполнена гингивэктомия (удлинение ясеневой части) для открытия правильных пропорций. Все лечение проведено с помощью керамических виниров.

Выполнена коррекция ясеневого края. Осуществлено тотальное протезирование верхней и нижней челюстей. Изменена форма и пропорции зубов с помощью виниров и накладок. Зафиксирована высота прикуса на постоянной конструкции. Восстановлена анатомическая форма зубов. Достигнут гармонический ясеневой контур. Улучшена эстетика и стабилизирована функция.

Проведена тотальная реабилитация с поднятием прикуса. Установлены импланты в боковых участках верхней челюсти. Проведено протезирование керамическими винирами и коронками во фронтальном и боковом отделах. Закрыта трема и диастема, восстановлена правильная форма и пропорции зубов. Достигнуты гармонии цвета, линии улыбки и симметрии.

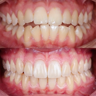
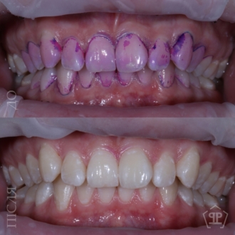
Произведено восстановление окклюзии, поднятие высоты прикуса, цветокоррекцию, а также создание эстетической формы и улыбки с помощью керамических виниров и коронок.

Произведено поднятие высоты прикуса методом тотального протезирования. Установлены керамические виниры и коронки с полной перестройкой формы и анатомии зубов. Восстановлена целостность боковых участков. Устранены клиновидные дефекты и трещины. Произведено полное изменение цвета и гармонизацию улыбки.

Тотальная реставрация керамическими винирами

Реставрация 4 фронтальных зубов керамическими винирами

Было выполнено протезирование всей верхней челюсти керамическими винирами с гармоническим восстановлением зубного ряда керамическими винирами.

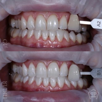
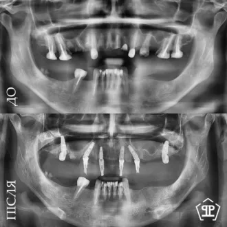
Постановка дентальных имплантатов, тотальное протезирование керамическими винирами и коронками с поднятием высоты прикуса.

Тотальная реставрация керамическими винирами

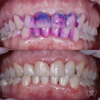
Тотальная реставрация керамическими коронками

Тотальная реставрация керамическими винирами

Тотальная реставрация керамическими винирами

Тотальная реставрация керамическими винирами

Тотальная реставрация керамическими винирами

Тотальная реставрация керамическими винирами

Тотальная реставрация керамическими винирами

Тотальная реставрация керамическими винирами

Тотальная реставрация керамическими винирами

Проведено тотальне протезування верхньої та нижньої щелепи за допомогою керамічних конструкцій. Гармонізовано форму зубів відповідно до анатомії обличчя. Усунено вроджені та набуті дефекти емалі. Відновлено цілісність ріжучого краю та усунено тріщини й сколи. Пацієнт отримав естетичну усмішку з яскраво вираженим прозорим краєм.

Тотальная реставрация керамическими винирами

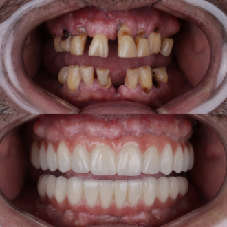
Произведено восстановление улыбки по технологии All-on-4/All-on-6. Достигнута гармония улыбки, полноценная функция жевания и ежедневный комфорт. Работа выполнена под полным контролем на всех этапах в собственной лаборатории – точный, эстетический и надежный результат.

Показательный кейс одноэтапной имплантации All-on-6 на верхней челюсти. Импланты установлены в кости под углом, минуя гайморовые пазухи.

Одномоментная имплантация: удаление и имплантация выполняются за 1 визит

Установка импланта и фиксация керамической коронки

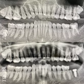
Выполнено тотальное протезирование на имплантатах по протоколу All-on-6 для обеих челюстей. На верхней челюсти установлена циркониевая керамическая конструкция на фрезерованной титановой балке, обеспечивающая высокую прочность и эстетику. На нижней челюсти изготовлена металлокерамическая ортопедическая конструкция на 6 имплантах. Произведено поднятие высоты прикуса, что позволило восстановить правильную окклюзию и гармонизировать профиль лица. Установлены несъемные конструкции, обеспечивающие полноценное функциональное и эстетическое обновление.

Результат лечения кариеса и художественная реставрация

Результат лечения кариеса и художественная реставрация

Пациент обратился с жалобами на неприятные ощущения от сладкого и дискомфорт от сколотой поверхности старой пломбы. Проведено лечение вторичного кариеса с последующим восстановлением зубов композитными реставрациями.

Результат лечения кариеса и художественная реставрация

Результат лечения кариеса и художественная реставрация

Пациент обратился с жалобами: чувство холодного воздуха и неприятные ощущения языком в области старых пломб. Было произведено полноценное удаление инфицированных тканей с последующим реставрированием зубов согласно анатомических особенностей.

Результат лечения кариеса и художественная реставрация

Результат лечения кариеса и художественная реставрация

Пациент обратился с жалобами на повышенную чувствительность к воздуху и сладкую пищу в области угловых зубов. После обследования и диагностического разбора КТ был диагностирован глубокий контактный кариес 14 и 15 зуба. Произведено изолирование зубов кофердамом, с последующим раскрытием кариозных полостей и последующим восстановлением утраченных тканей методом художественной реставрации.

Результат лечения кариеса и художественная реставрация

Результат лечения кариеса и художественная реставрация

Результат лечения кариеса и художественная реставрация

Результат лечения кариеса и художественная реставрация

Результат лечения кариеса и художественная реставрация

Результат лечения кариеса и художественная реставрация

Результат лечения кариеса и художественная реставрация

Результат лечения кариеса и художественная реставрация

Результат лечения кариеса и художественная реставрация

Результат лечения глубокого кариеса и художественная реставрация

Результат лечения кариеса и художественная реставрация

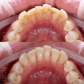
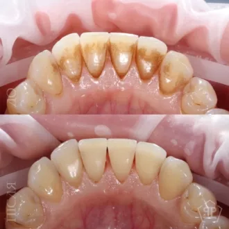
Комплексная гигиена зубов: гигиеническая чистка скейлером + аппаратом Air-Flow + полировка зубов профессиональной пастой

Комплексная гигиена зубов: гигиеническая чистка скейлером + аппаратом Air-Flow + полировка зубов профессиональной пастой

Комплексная гигиена зубов: гигиеническая чистка скейлером + аппаратом Air-Flow + полировка зубов профессиональной пастой

Комплексная гигиена зубов: гигиеническая чистка скейлером + аппаратом Air-Flow + полировка зубов профессиональной пастой

Комплексная гигиена зубов: гигиеническая чистка скейлером + аппаратом Air-Flow + полировка зубов профессиональной пастой

Комплексная гигиена зубов: гигиеническая чистка скейлером + аппаратом Air-Flow + полировка зубов профессиональной пастой

Комплексная гигиена зубов: гигиеническая чистка скейлером + аппаратом Air-Flow + полировка зубов профессиональной пастой

Комплексная гигиена зубов: гигиеническая чистка скейлером + аппаратом Air-Flow + полировка зубов профессиональной пастой

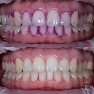
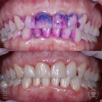
Безопасное профессиональное отбеливание Beyond Polus

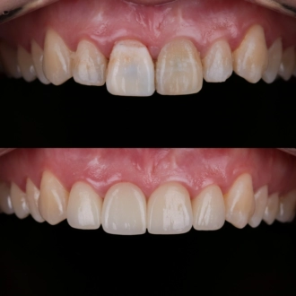
Композитная реставрация фронтальных зубов

Замена старых композитных реставраций со вторичным кариесом

Композитная реставрация верхней челюсти

Композитная реставрация фронтальных зубов

Композитная реставрация фронтальных зубов

Композитная реставрация фронтальных зубов

Композитная реставрация фронтальных зубов

Композитная реставрация фронтальных зубов

Композитная реставрация фронтальных зубов

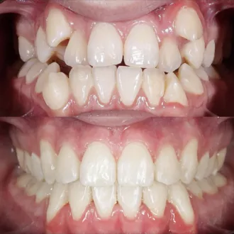
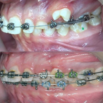
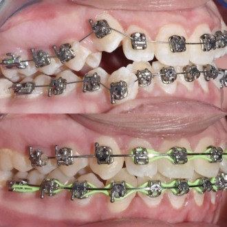
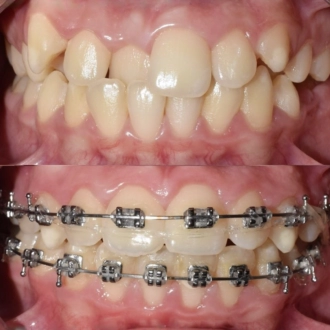
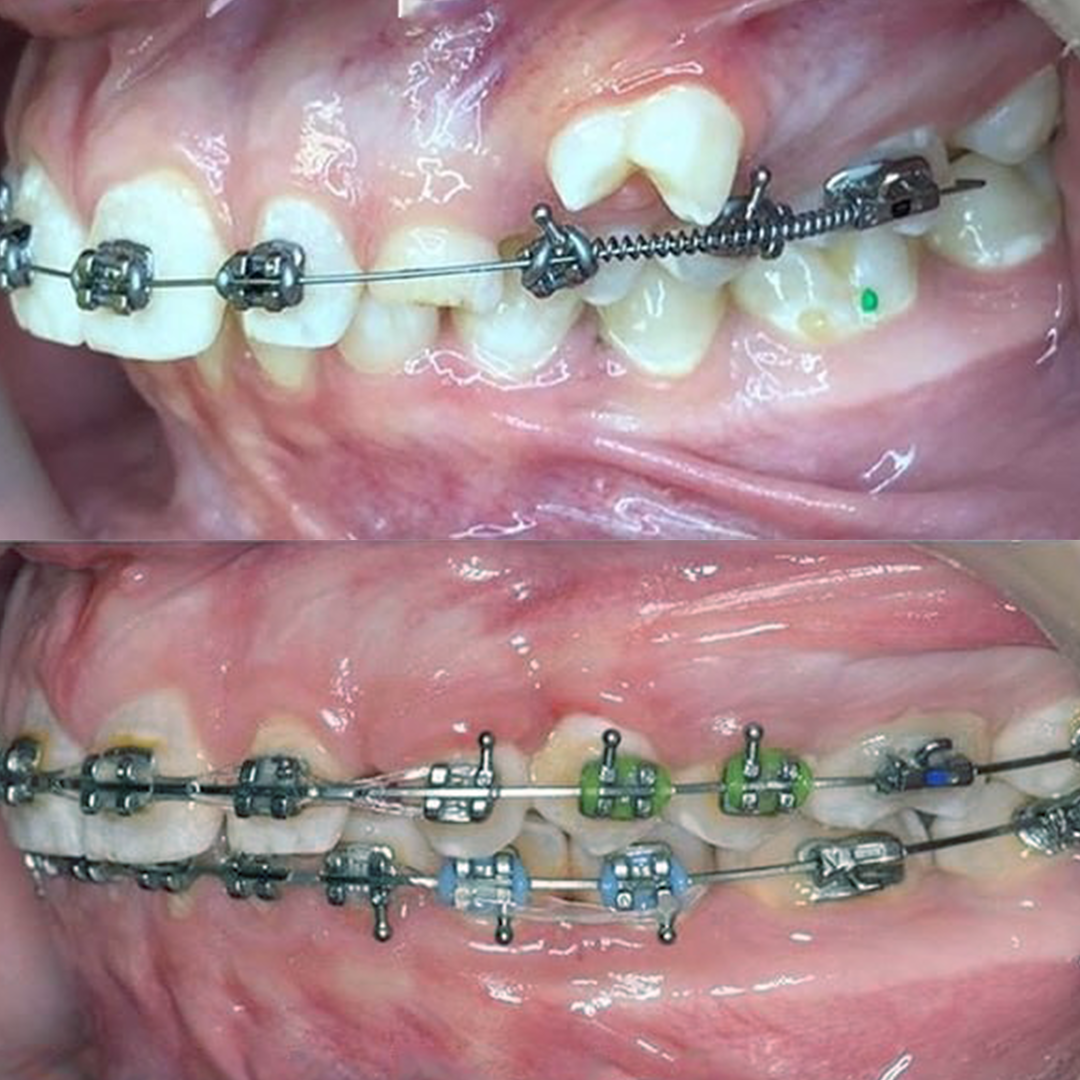
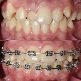
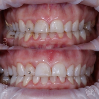
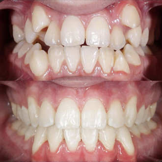
Результат коррекции металлической брекет-системой

Результат коррекции самолигирующей брекет-системой

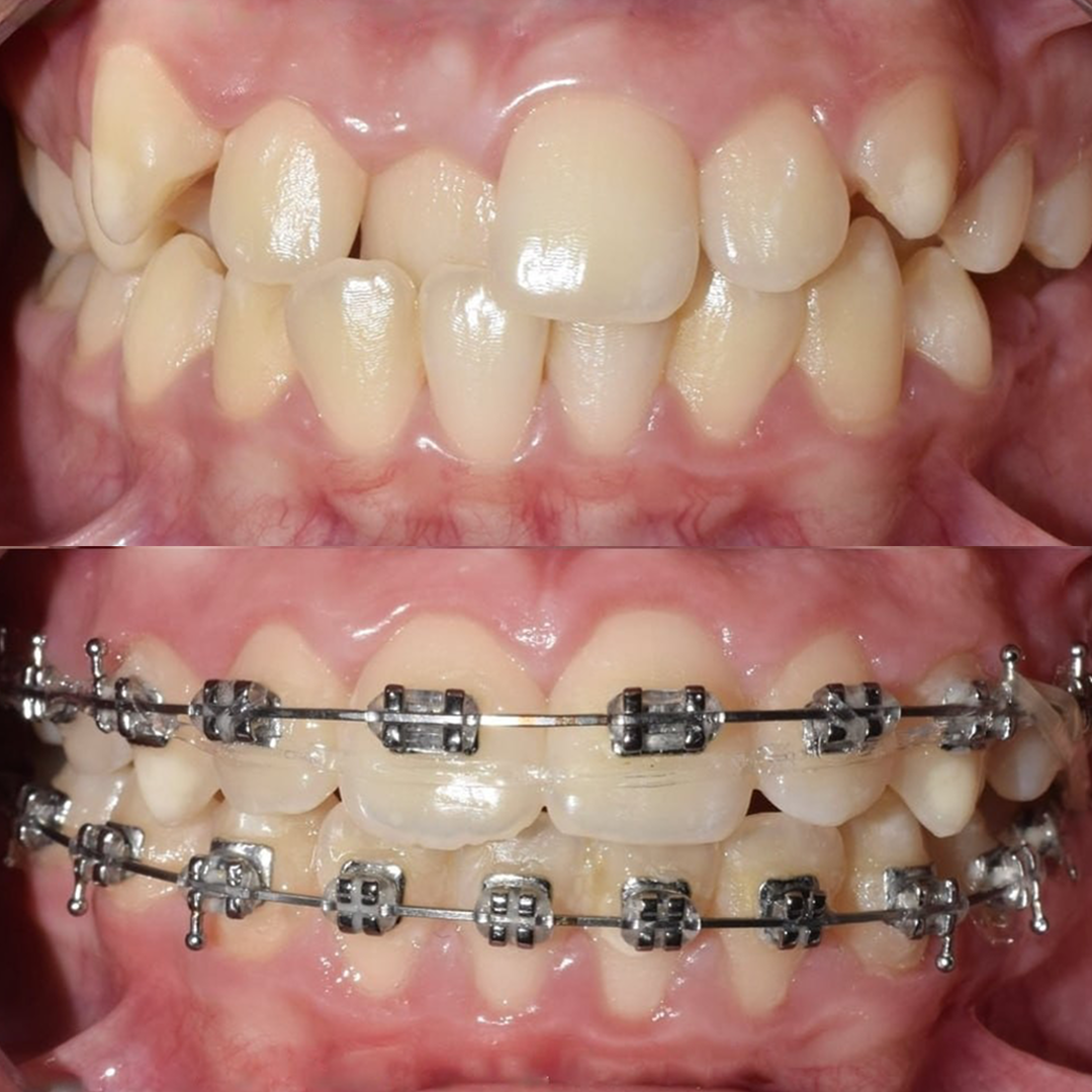
Результат коррекции элайнерами

Результат коррекции самолигирующей брекет-системой

Результат коррекции керамической брекет-системой

Результат коррекции элайнерами

Перелечивание корневых каналов. Пациент обратился с признаками воспалительного процесса в верхнем зубе. Выявлены незапломбированные корневые каналы. Выполнен тщательное перелечивание с последующим герметическим пломбированием.

Пациент нуждался в повторном лечении корневых каналов из-за осложнений предварительного лечения. Выполнено извлечение анкерного штифта, перелечивание корневых каналов, очищение и пломбирование с учетом анатомических особенностей зуба.

Во время диагностики обнаружен отлом фрагмента инструмента в корневом канале. Выполнено его безопасное извлечение, повторное перелечивание каналов, очистку и герметичное пломбирование.

Перелечивание с удалением двух переломанных инструментов. Пациент обратился с осложнением предварительного эндодонтического лечения. В каналах были обнаружены два переломанных инструмента. Выполнены их удаление и пломбирование каналов с соблюдением современных эндодонтических протоколов.

Перелечивание корневых каналов. Пациент обратился с симптомами, свидетельствующими о недостаточном предварительном лечении. Выполнены перечисления корневых каналов, тщательная очистка и повторная пломбировка для достижения полной герметичности и предотвращения рецидива воспаления.

Первичное лечение корневых каналов. Лечение пульпита, возникшего вследствие глубокого кариеса.

Контакты⋅⋅⋅
Киев, ул. Симферопольская 19/1
Позняки
Проложить маршрут
Пн. - Пт. 9:00 - 20:00
Сб. 9:00 - 17:00
Вс. Вихідний
0 800 332 555 Детальнее о филиале
Стоматология РЕФЕРТА на Позняках
Киев, ул. Садовая 136-а, буд.2
Осокорки
Проложить маршрут
Пн. - Пт. 9:00 - 20:00
Сб. 9:00 - 17:00
Вс. Вихідний
0 800 331 555 Детальнее о филиале
Стоматология РЕФЕРТА на Славутиче
Оставить отзыв


    Запись на курс


      Благодарим за обращение!

      Ваша заявка принята, свяжемся в ближайшее время.

      Благодарим за отзыв!

      Мы делаем все, чтобы превосходить Ваши ожидания :)

      Спасибо, что выбираете учебный центр РЕФЕРТА!

      Администратор свяжется с вами в ближайшее время для обсуждения деталей.

      Наверх