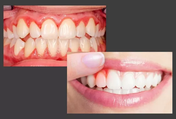
Незначительное покраснение и дискомфорт в деснах может обернуться серьезными проблемами. Поскольку десны являются основой для зубов, они защищают связки от микробов и регулируют жевательную нагрузку, поэтому к их здоровью стоит относиться ответственно.
Как воспаление десен влияет на зубы?
Воспаление вызывают гингивит, пародонтит, стоматит, абсцесс. Патологическим проявлением является кровоточивость, которую иногда относят к отдельной болезни, хотя это симптом. Инфицирование околозубных тканей приводит к ослаблению связок и разрушению костной ткани. Зубы могут стать подвижными, сместиться и даже выпасть.
Без своевременного лечения гингивит может перейти в пародонтит – поражение тканей пародонта. Со временем заболевание вызывает образование глубоких десенных карманов. Они становятся очагом инфекций и способствуют дальнейшему разрушению зубов.

Десны и общее состояние здоровья
Воспаленные десны повышают риск развития других заболеваний и угрожают общему здоровью. Так, пародонтит ухудшает состояние при диабете, затрудняет контроль уровня сахара в крови. Воспалительные процессы активизируют в организме реакцию на инфекции, затрудняя обменные процессы, связанные с глюкозой.
Болезни пародонта увеличивают риск сердечно-сосудистых заболеваний. Повышается вероятность развития ишемической болезни сердца и инсульта, поскольку бактерии из ротовой полости могут попадать в кровоток и вызывать воспаление в сосудах. Американские исследователи зафиксировали взаимосвязь между респираторными болезнями и воспалениями ротовой полости. Пародонтит может вызвать или осложнить пневмонию из-за бактерий, которые вдыхаются через рот. Также повышается риск преждевременных родов и низкого веса новорожденных у беременных женщин.

По данным Центров по контролю и профилактике заболеваний США (CDC), профилактика заболеваний десен включает регулярный уход за зубами, своевременное лечение, регулярную профессиональную чистку. Данный комплекс мер снижает угрозу для организма.
Когда обращаться к стоматологу?
К стоматологу нужно обратиться при следующих симптомах:
- боль;
- гиперчувствительность;
- кровоточивость;
- покраснение;
- отек;
- неприятный запах.
Вышеперечисленные признаки указывают на начальные стадии воспаления, а оперативное реагирование поможет избежать осложнений. Рецессия десен и накопление налета свидетельствуют о второй стадии пародонтита, которая потребует достаточно неприятной терапии. Визит к врачу лучше не откладывать на потом.

Методы лечения десенных болезней
Современные терапевтические методики помогают избавиться от воспаления. В «Реферта» мы проводим следующие процедуры:
- Скейлинг. Мягкие и твердые отложения удаляются скейлером. Избавившись от питательной среды для патогенной микрофлоры, удается приостановить воспалительный процесс.
- Медикаментозная обработка пародонтальных карманов. Инфицированные ткани обрабатываются антисептиками для обеззараживания. Стоматолог назначает курс антибактериальных препаратов, которые необходимо принимать дома определенное время. По завершению курса выполняется контрольный осмотр.
- Шинирование. В запущенных случаях осуществляется процедура укрепления зубов для снижения их подвижности.
- Лечебные аппликации. Наносится специальный гель, ускоряющий заживление.
- Плазмолифтинг. Инъекции собственной плазмы пациента стимулируют восстановление тканей.
- Инъекции гиалуроновой кислоты. Назначаются для увлажнения, регенерации.
Своевременное лечение воспаления во рту – залог здоровой улыбки и способ защитить здоровье. Если вас беспокоят десны, запишитесь к пародонтологу «Реферта» на консультацию.