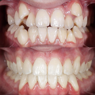
Коррекция элайнерами в Киеве
Коррекция элайнерами — это современная альтернатива традиционным брекетам. Этот метод успешно применяется для лечения 85% всех случаев нарушения прикуса и зубов у пациентов с постоянными зубами. Элайнеры не влияют на качество жизни, обеспечивают быстрое достижение результатов, а конечный результат коррекции можно увидеть уже на консультации у ортодонта. В РЕФЕРТА созданы идеальные условия для прохождения коррекции элайнерами: наличие необходимого диагностического оборудования, широкий выбор производителей элайнеров под любой запрос и бюджет, команда из сертифицированных врачей-партнеров производителей элайнеров. Мы доказываем, что путь к идеальной улыбке может и должен быть быстрым!

5 преимуществ коррекции элайнерами
- Капы практически незаметны во время использования
- Сокращение времени лечения по сравнению с брекет-системами
- Комфортный процесс коррекции
- Профилактика кариеса и других заболеваний благодаря сохранению надлежащей гигиены полости рта
- Прогнозируемый результат коррекции
Свойства элайнеров
Гибкие и прозрачные каппы идеально прилегают к зубам и не травмируют слизистые оболочки ротовой полости. Элайнеры изготовлены из 100% биосовместимого и прочного материала, поэтому они полностью безопасны и устойчивы к воздействию внешних факторов. Элайнеры носят в течение дня и во время сна, и снимают на время еды и питья (кроме употребления чистой негазированной воды).

Показаниями для коррекции элайнерами являются:
- нарушение положения отдельных зубов
- скученность зубов
- наличие диастемы
- нарушение прикуса
Этапы коррекции элайнерами
Консультация
На этом визите врач определяет возможность коррекции элайнерами в индивидуальном случае пациента и проводит цифровую диагностику (сканирование, КТ ротовой полости и т.д.) с созданием цифровой модели.
Создание плана лечения
Ортодонт создает поэтапную цифровую модель, на которой в динамике показано перемещение зубов на каждой неделе коррекции элайнерами. Пациент имеет возможность отслеживать каждый этап коррекции и понимать, как быстро будет достигнут желаемый результат.
Лечение
Пациент получает набор капп различной конфигурации и эластичности, которые постепенно меняет в соответствии с расписанным планом коррекции. Для контроля планового течения коррекции стоит посещать своего врача для контрольных осмотров.
Оценка результатов
После завершения курса коррекции ортодонт осматривает ротовую полость, делает контрольный снимок и фиксирует ретейнер, который будет удерживать зубы в конечном положении.
Сколько стоит лечение элайнерами?
На стоимость коррекции влияет модель элайнеров и продолжительность коррекции. Также обращаем ваше внимание, что необходимость предварительного терапевтического или хирургического лечения не входит в стоимость курса. Чтобы узнать цену коррекции элайнерами посетите на осмотр к специалисту.
В заключение
Запишитесь на консультацию ортодонта и коррекцию элайнерами через форму обратной связи ниже или по номерам:
Филиал на Славутиче: 0 800 331 555
Филиал на Позняках: 0 800 332 555
РЕФЕРТА: идеальная улыбка — это просто!