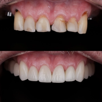
Имплантация зубов в Киеве
Процедура имплантации — это быстрый, современный и безопасный метод восстановления архитектуры улыбки. Еще 10 лет назад с процедурой ассоциировалось множество предубеждений и опасений. Но сегодня в арсенале врачей есть большая подборка атравматичных методик, материалов и методов реабилитации, которые делают имплантацию абсолютно рутинной процедурой. В сети стоматологий РЕФЕРТА процедура имплантации выполняется по современным протоколам с использованием премиальных материалов. Вы можете быть уверены в исключительной безопасности выполнения и сияющем результате процедуры.
Показания к выполнению имплантации
- Отсутствие одного или нескольких зубов
- Аномалии развития, сопровождающиеся адентией
- Невозможность использования съемных зубных протезов
- Потребность в поддержании архитектуры лица и сохранении костной массы
Противопоказания к процедуре
Как и к любой инвазивной процедуре к имплантации зубов существует ряд противопоказаний:
- Малая толщина кости в зоне протезирования
- Аномальное расположение нервов и сосудов в области будущей имплантации, что повышает риски массивного кровотечения или потери функциональности
- Системные заболевания, препятствующие заживлению ран (сахарный диабет, новообразования, иммунодефицит, гепатиты с тяжелым течением и т.д.)
- Беременность
Этапы имплантации зуба

Диагностический этап
Это важный этап подготовки к процедуре, от которого напрямую зависит скорость восстановления и качество приживления имплантата. Диагностический этап включает в себя:
- сбор анамнеза об общем состоянии здоровья пациента, перенесенных заболеваниях, причинах потери зубов, вредных привычках, гигиенических привычках и ожиданиях от имплантации
- осмотр зубов и ротовой полости с оценкой состояния зубного ряда, десен, прикуса
- выполнение рентгенограммы и КТ запланированного места имплантации для определения плотности челюстной кости, степени ее атрофии, наличия возможных патологических очагов
- планирование этапов имплантации и моделирование внешнего вида будущего зубного ряда
- расчет стоимости процедуры
Хирургическая имплантация
В случае, если толщина челюстной кости недостаточна выполняется трансплантация костного блока или синус-лифтинг. Благодаря этим вмешательствам создаются условия для приживления имплантата.
Хирургический этап проходит под местной анестезией или в условиях медикаментозного сна. После надреза десны и обнажения челюстной кости в месте имплантации стоматолог выполняет остеотомию (отверстие для имплантата) с помощью сверл разного диаметра, постепенно расширяя место имплантации. Окончательное остеотомическое отверстие соответствует толщине и длине имплантата, который будет в него установлен. Имплантат фиксируется в кости, после чего происходит ушивание зоны вмешательства.
При немедленной одноэтапной процедуре имплантат устанавливается в кость сразу после удаления зуба, а на абатмент имплантата устанавливается временная коронка. Временная коронка заменяется на фарфоровую коронку после периода полного приживления имплантата. Этот вариант процедуры является менее травматичным для костной ткани и имеет значительно меньший период восстановления. Врачи РЕФЕРТА в совершенстве владеют этой методикой, благодаря чему наши пациенты значительно сокращают свой путь к заветной улыбке.
В случае, когда имплантация выполняется по стандартной методике в два этапа процедура будет в первую очередь отличаться сроками восстановления. После остеотомии происходит установка имплантата с ушиванием окружающих тканей. После этого пациент ожидает заживления тканей и приживления имплантата (остеоинтеграция длится в среднем до 10 недель) и только после этого переходит к этапу установки коронки.
Реабилитация после процедуры
Реабилитация после процедуры имплантации зуба может длиться от нескольких недель до нескольких месяцев. В первые дни после процедуры, кроме локального дискомфорта могут отмечаться повышение температуры тела, слабость, незначительный отек в зоне вмешательства. Кроме употребления лекарств по схеме, которые назначил врач, в период восстановления важно соблюдать правильную гигиену ротовой полости, чтобы избежать инфекций и способствовать быстрому заживлению слизистых в зоне вмешательства.
Помните, что продолжительность и особенности течения периода реабилитации могут варьироваться в зависимости от индивидуальных особенностей пациента, состояния его здоровья и сложности процедуры имплантации. Важно следовать рекомендациям врача, вовремя проходить контрольные осмотры и не откладывать визит к врачу при наличии тревожных симптомов (повышение температуры более 37,5 С, выраженная пульсирующая боль в зоне вмешательства, выраженная слабость, выраженный локальный отек и т.д.).
Возможно ли полное восстановление зубного ряда с помощью имплантатов?
Самое быстрое полное восстановление архитектуры улыбки при полном отсутствии зубов обеспечивает метод All-on-4 или All-on-6. Этот метод позволяет прикрепить мост из зубной дуги на четырех или шести непосредственных имплантатах. Окончательная реставрация коронками происходит после завершения процесса остеоинтеграции (примерно через 3-6 месяцев).
В завершение
Записаться на диагностику и имплантацию зубов можно через форму обратной связи ниже или по номерам:
Филиал на Славутиче: 0 800 331 555
Филиал на Позняках: 0 800 332 555
РЕФЕРТА: здоровая улыбка — это просто!
