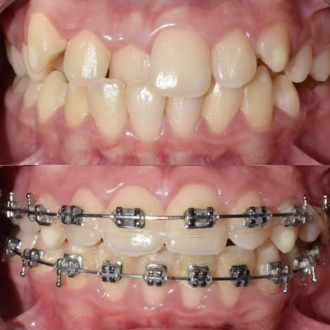
Корекція металевими брекетами у Києві
Історія використання металевих брекет-систем в ортодонтії налічує кілька століть. Перші подібні ортодонтичні апарати з’явилися в середньовіччі, але справжній прорив відбувся у 20 столітті завдяки американським стоматологам. Сьогодні металеві брекети є ефективним та популярним методом корекції прикусу та положення зубів, а у деяких країнах стають навіть естетичним трендом. У мережі стоматологій РЕФЕРТА у Києві корекція металевими брекет-системами проводиться на будь-якій філії. Якщо ви шукаєте досвідченого ортодонта на лівому березі Києва – завітайте на комплексну діагностику та консультацію.

Показання до корекції металевими брекетами
Корекція металевими брекетами рекомендується у наступних випадках:
- порушення прорізування та положення постійних зубів
- аномалії прикусу
- необхідність комплексної корекції стану щелеп
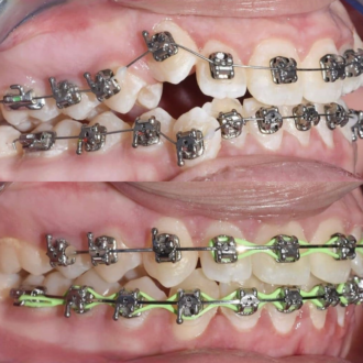
Етапи корекції металевими брекетами
Консультація та діагностика
Підготовчий етап
Професійна гігієна
Фіксація брекетів
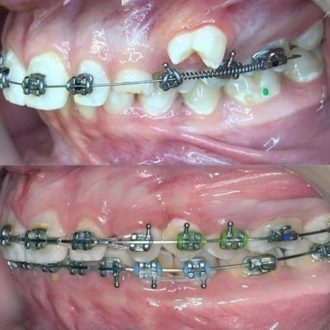
Регулярні контрольні візити
Завершення лікування
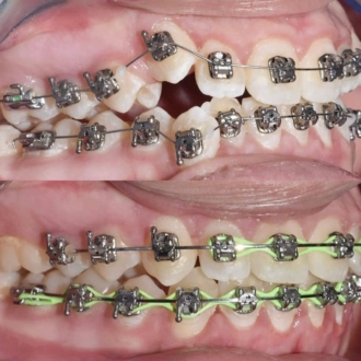
Скільки триває корекція брекет-системами?
Корекція брекет-системами можлива після повної зміни зубів та може розпочатися в підлітковому віці. Але процедура не має вікових обмежень, тож ви можете розпочати ортодонтичну корекцію у 15, 30 та навіть 45 років.
У середньому, тривалість лікування металевими брекетами залежить від складності клінічного випадку та може тривати від 1,5 до 3 років.
На закінчення
Записатися на корекцію брекетами можна через форму зворотного зв’язку нижче або за номерами:
Філія на Славутичі: 0 800 331 555
Філія на Позняках: 0 800 332 555
РЕФЕРТА: ідеальна усмішка – це просто!