Кариес – самое распространенное стоматологическое заболевание в любом возрасте. Дети, у которых только начинают прорезываться молочные зубы, не являются исключением. Сохранение молочных зубов является важнейшей задачей. Этот материал поможет родителям вовремя выявить бутылочный кариес у ребенка и принять необходимые меры для здоровья ротовой полости.
Бутылочный кариес – что это?
Термином «бутылочный кариес» обозначается не конкретный вид заболевания, а его происхождение. Встречаются альтернативные названия: «кефирный», «молочный» и т.д. Кариес сам по себе является поражением эмали и дентина. Бутылочная условная разновидность обозначает, что болезнь возникает из-за кормления ребенка в раннем возрасте из бутылочки.
Официальное стоматологическое название заболевания – циркулярный кариес. Он поражает преимущественно молочные зубы в пришеечной зоне, а в запущенных случаях охватывает всю коронковую часть. Патология диагностируется в возрасте 1-4 лет. Чаще всего поражаются передние резцы и клыки.
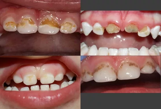
Распознать бутылочный кариес на зубах можно по таким признакам:
- потемнение эмали;
- коричневые пятна;
- кариозные полости.

Классификация и симптомы бутылочного кариеса
На разных стадиях заболевание проявляется разной симптоматикой. Выделяются следующие этапы развития бутылочного кариеса:
- Начальный. Происходит деминерализация эмали, которая сопровождается появлением белых пятен. Ребенок не испытывает дискомфорта.
- Поверхностный. Появляются заметные темные пятнышки, которые свидетельствуют о разрушении эмали.
- Средний. Болезнь продвигается в дентин. Во время употребления пищи и питья ребенок капризничает, плачет, нервничает, потому что чувствует острую боль.
- Глубокий. Значительное разрушение зубных тканей сопровождается постоянной болью. Малыш может отказываться от еды. На зубах заметны черные пятна и полости.

Вышеперечисленные стадии болезни могут прогрессировать как медленно, так и стремительно. Чтобы выявить отклонения на стадии их появления, важно не пропускать плановые осмотры у детского стоматолога.
Почему появляется бутылочный кариес?
В маленьком возрасте дети часто болеют, на лечение уходит много времени и сил. Иммунитет находится на стадии формирования. Параллельно в этот период активно растут зубки. Если не уделить внимания их чистке, на поверхности скапливается налет. Традиционный рацион малышей – каши, молочные смеси. Лактоза меняет состав микрофлоры во рту. В результате возникает бутылочный кариес.
Среди причин бутылочного кариеса следующее:
- отсутствует или недостаточная гигиена (чистить надо даже несколько зубов, а не когда вырастут все);
- неправильное грудное вскармливание, ночное кормление, поение сладкими напитками перед сном;
- недостаток микроэлементов, формирующих эмаль (кальций, фтор, фосфор);
- передача бактерий от родителей через ложки, посуду;
- снижение иммунитета из-за сопутствующих болезней;
- врожденные патологии эмали, слюнных желез.
Лечение бутылочного кариеса у детей
Детская стоматология предлагает такие методы:
- Реминерализация эмали. На начальной стадии достаточно сделать профессиональную чистку и нанести специальный раствор. После процедуры врач дополнительно назначит гели для домашнего применения.
- Пломбирование. Зубные полости очищаются от разрушенных тканей и бактерий, закрываются фотокомпозитными пломбами.
- Детское протезирование. В редких случаях разрушения зубов более чем на 50%, коронковые части приходится восстанавливать искусственно. Детские протезные конструкции имеют свою специфику. К этому методу прибегают в случае раннего разрушения, когда постоянные зубы вырастут еще не скоро.
Чаще всего родители обращаются, когда ребенок проявляет признаки дискомфорта, а кариозные поражения уже достаточно заметны. Не стоит запускать ситуацию, ведь инвазивные методики тяжелые для психологического восприятия и требуют больших вложений. Регулярный плановый осмотр не вызывает у малышей страха и позволяет сэкономить на сложном лечении. В случае значительных зубных проблем лучше проводить процедуру в медикаментозном сне.

Что будет, если не лечить бутылочный кариес?
Детские стоматологи «Реферта» в очередной раз подчеркивают важность лечения молочных зубов. От целостности зубного ряда зависит прикус, симметрия лица, состояние ЖКТ. Кроме физиологических отклонений, ребенок может подвергаться высмеиванию со стороны сверстников из-за болезненных зубов или их отсутствия, что приводит к психологическим травмам.
Возможные последствия при отсутствии лечения бутылочного кариеса:
- боль, мешающая нормальному развитию;
- дефекты речи;
- воспаление десен;
- выпадение зубов;
- искривление, смещение других зубных единиц из-за частичной адентии;
- проблематичное прорезывание постоянных зубов.
Кариес при смене молочных зубов грозит контактным заражением. Когда постоянный зуб прорезывается под пораженным молочным, он может вырасти больным. Развитие кариеса на молочных зубах способно перерасти в пульпит, гнойные воспаления.
Профилактика раннего кариеса молочных зубов
Чтобы предотвратить появление бутылочного кариеса, дантисты дают такие рекомендации:
- Ухаживайте за зубами с момента их прорезывания, даже если это 1 зуб.
- Придерживайтесь режима питания.
- Уменьшайте количество ночных кормлений с 8 месяцев с помощью прикормов.
- Постепенно вводите в рацион твердые продукты: тертые яблоки, морковь.
- Контролируйте режим питья сладких напитков из бутылки.
- Регулируйте количество употребления кондитерских изделий, выпечки.
- Проходите профилактические осмотры минимум 2 раза в год, а лучше каждые 4 месяца.