кариес⋅⋅⋅
Белые пятна на зубах: кариес или косметический дефект?

Белые пятна на зубах: кариес или косметический дефект?

В отличие от темных кариозных поражений, пятна белого цвета непросто заметить на боковых поверхностях и участках возле десен. Внешние изменения могут быть предвестником кариеса и следствием некоторых общих отклонений. Почему появляются белые пятна? Здоровая эмаль имеет ...

Читать дальше
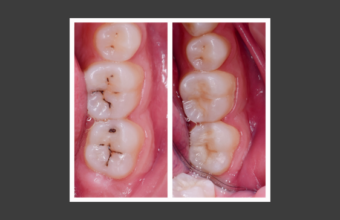
Фиссурный кариес – лечение у взрослых и детей

Фиссурный кариес – лечение у взрослых и детей

Фиссурный кариес относится к распространенным стоматологическим проблемам, особенно у детей и подростков, хотя нередко диагностируется и у взрослых. Начальная стадия нередко протекает без симптомов, а при углубленном разрушении дентина помимо пломбирования потребуется ...

Читать дальше
Контактный кариес: почему возникает и как предотвратить?

Контактный кариес: почему возникает и как предотвратить?

Контактный кариес – коварная форма поражения зубных тканей. Его сложно обнаружить на ранней стадии, ведь пациент не замечает визуальных изменений, соответственно, не обращается к врачу вовремя. Патология развивается в промежутках между зубами, где скапливаются остатки пищи и ...

Читать дальше
У Вас возникли вопросы? Оставьте номер телефона!
Мы перезвоним Вам через несколько минут!


    Контакты⋅⋅⋅
    Киев, ул. Симферопольская 19/1
    Позняки
    Проложить маршрут
    Пн. - Пт. 9:00 - 20:00
    Сб. 9:00 - 17:00
    Вс. Вихідний
    0 800 332 555 Детальнее о филиале
    Стоматология РЕФЕРТА на Позняках
    Киев, ул. Садовая 136-а, буд.2
    Осокорки
    Проложить маршрут
    Пн. - Пт. 9:00 - 20:00
    Сб. 9:00 - 17:00
    Вс. Вихідний
    0 800 331 555 Детальнее о филиале
    Стоматология РЕФЕРТА на Славутиче
    Оставить отзыв


      Запись на курс


        Благодарим за обращение!

        Ваша заявка принята, свяжемся в ближайшее время.

        Благодарим за отзыв!

        Мы делаем все, чтобы превосходить Ваши ожидания :)

        Спасибо, что выбираете учебный центр РЕФЕРТА!

        Администратор свяжется с вами в ближайшее время для обсуждения деталей.

        Наверх