чистка зубов⋅⋅⋅

Профессиональная гигиена с брекетами

Во время ортодонтического лечения повышаются требования к уходу за полостью рта. Даже при добросовестной ежедневной чистке зубов отложения накапливаются в участках между брекетами, возле дуг, колец, лигатур. Чтобы избежать необходимости лечения после снятия конструкции, ...

Читать дальше

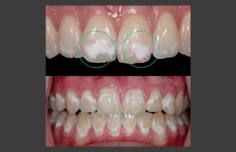
Белые пятна на зубах: кариес или косметический дефект?

В отличие от темных кариозных поражений, пятна белого цвета непросто заметить на боковых поверхностях и участках возле десен. Внешние изменения могут быть предвестником кариеса и следствием некоторых общих отклонений. Почему появляются белые пятна? Здоровая эмаль имеет ...

Читать дальше

Как удаленная работа вредит здоровью зубов?

Многие украинцы перешли на удаленный формат работы сначала из-за COVID-19, а затем из-за полномасштабной войны. Удаленная работа дает больше свободы, но в то же время формирует специфические поведенческие паттерны. Риски для зубов при удаленной работе Потенциальная опасность ...

Читать дальше

Чистка зубов при больных деснах – как не навредить?

Кровоточивость во время чистки, отечность, неприятный запах изо рта – типичные признаки воспаления десен. Подобные симптомы заставляют избегать щетки, откладывая гигиену до облегчения самочувствия. К сожалению, такое решение усугубляет ситуацию. При гингивите, стоматите, ...

Читать дальше
У Вас возникли вопросы? Оставьте номер телефона!
Мы перезвоним Вам через несколько минут!


    Контакты⋅⋅⋅
    Киев, ул. Симферопольская 19/1
    Позняки
    Проложить маршрут
    Пн. - Пт. 9:00 - 20:00
    Сб. 9:00 - 17:00
    Вс. Вихідний
    0 800 332 555 Детальнее о филиале
    Стоматология РЕФЕРТА на Позняках
    Киев, ул. Садовая 136-а, буд.2
    Осокорки
    Проложить маршрут
    Пн. - Пт. 9:00 - 20:00
    Сб. 9:00 - 17:00
    Вс. Вихідний
    0 800 331 555 Детальнее о филиале
    Стоматология РЕФЕРТА на Славутиче
    Оставить отзыв


      Запись на курс


        Благодарим за обращение!

        Ваша заявка принята, свяжемся в ближайшее время.

        Благодарим за отзыв!

        Мы делаем все, чтобы превосходить Ваши ожидания :)

        Спасибо, что выбираете учебный центр РЕФЕРТА!

        Администратор свяжется с вами в ближайшее время для обсуждения деталей.

        Наверх