Представление об эстетической улыбке отличается у каждого человека, ведь понятие красоты относительное и индивидуальное. Если стоматологические проблемы пролечены, нет явных дефектов эмали, улучшить внешний вид зубов поможет чистка и отбеливание. С точки зрения стоматологии это различные процедуры. Давайте рассмотрим их особенности и показания.
Чем отличается чистка и отбеливание зубов?
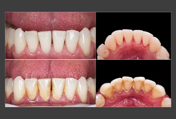
Главное отличие между процедурами – назначение. Гигиеническая чистка в стоматологии проводится с профилактической целью. Во время процедуры удаляются мягкие отложения и твердый зубной камень, которые провоцируют кариес и воспаление десен. Отбеливание – на 100% эстетическая услуга, в результате которой пациент получает осветление цвета на желаемое количество тонов. Профилактического или лечебного действия процедура не оказывает.
Комплексная чистка зубов Киев в стоматологии «Реферта» включает обработку ультразвуком и аппаратом Airflow. Сочетание методик позволяет удалить малейшие загрязнения в труднодоступных участках. По завершению коронки полируются, что способствует меньшему накоплению налета. После процедуры освежается дыхание, зубы становятся гладкими на ощупь, ощущается легкость.

Когда выбрать профессиональную чистку?
Профессиональную чистку необходимо проходить 2 раза в год. Процедура показана детям, взрослым, пациентам с брекетами, винирами, протезными конструкциями. Домашней чистки не достаточно для полноценного избавления от налета. Удалить зубной камень без вреда эмали можно лишь с помощью специального оборудования.
Перед пломбированием, установкой протезов, хирургическими операциями чистка назначается внепланово с целью обеззараживания. В налете находятся болезнетворные бактерии, которые могут попасть под пломбу, протез, вызвать инфицирование пародонта. Санация призвана улучшить результаты лечения и избежать осложнений. В то время как на плановую чистку нужно записываться самостоятельно, внеплановый визит назначит стоматолог-терапевт.
Как понять, что нужно отбеливание?
Запись на отбеливание зубов происходит по желанию. В основном пациент самостоятельно обращается за эстетической услугой, когда испытывает психологический дискомфорт из-за желтого или серого цвета эмали или приобретенных глубоких загрязнений, которые не удается убрать гигиенической чисткой. Если вы мечтаете о белых зубах, не стоит колебаться. Получить кристальную улыбку реально всего за 30-40 минут.
Отбеливание происходит с помощью лампы с ультрафиолетовым излучением. Поверх зубов наносится гель, который вступает в химическую реакцию под воздействием световых лучей. Вещество проникает в более глубокие слои дентина, осветляя его на несколько уровней. Интенсивность осветления регулируется временем воздействия реагента. Можно осветлить зубы как на 1-2 тона для натурального вида, так и на 6-10 тонов, кардинально изменив глубину тона. Обычно пациент имеет собственные представления о желаемом оттенке. Врач может дать советы, опираясь на опыт.

Противопоказания
Процедуру не проводят при наличии искусственных конструкций: брекетов, протезов, виниров, так как они не поддаются осветлению. В то же время разрешается отбелить зубы, а затем приступить к протезированию.
К медицинским противопоказаниям относится следующее:
- стоматит;
- гингивит;
- кариес;
- беременность и грудное вскармливание;
- аллергия;
- рецессия десен.
Эстетические улучшения откладываются до полного устранения имеющихся болезней.
В завершение
Наша стоматологическая клиника предоставляет услуги профессиональной гигиенической чистки и отбеливание зубов Киев. Сначала мы советуем проконсультироваться с терапевтом. Плановая чистка необходима в любом случае, а для отбеливания стоит исключить возможные противопоказания. Если зубы потемнели из-за внешних загрязнений, после профессиональной гигиены улыбка осветлится до естественного цвета. Обладателям темной эмали понадобится отбеливание, чтобы достичь желанного цвета. Убрать желтизну, глубокие темные пятна поможет безопасная система Beyond Polus.