Отбеливание Beyond Polus в Киеве
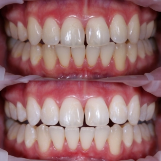
Beyond Poluse — одна из самых современных систем безопасного отбеливания холодным светом. В отличие от стандартных и устаревших систем отбеливания, Beyond Polus не нагревает эмаль и окружающие мягкие ткани, а сама процедура длится до 30 минут. Как результат — такой формат отбеливания подходит даже для чувствительных зубов. Благодаря этой инновационной технологии, яркая и уверенная улыбка становится доступной каждому, поэтому не откладывайте свой визит, и запишитесь на отбеливание в удобный филиал РЕФЕРТА!

Преимущества отбеливания системой Beyond Polus
- технология «холодного отбеливания» без нагрева зубной эмали
- отсутствие ультрафиолетового и инфракрасного излучения (система фильтрации линз с 30 слоями специального покрытия)
- отсутствие дискомфорта во время отбеливания
- малая продолжительность процедуры
- контроль процедуры с помощью таймера на цифровом дисплее
- сияющий результат, который сохраняется надолго

Как подготовиться к процедуре
Процедура не требует особой подготовки. Вам достаточно запланировать визит к стоматологу и выделить на него 1-1,5 часа. Врач проведет осмотр ротовой полости с профгигиеной и выполнит процедуру. Но стоит отметить, что при наличии противопоказаний выполнение процедуры невозможно. В этот перечень включают:
- острые воспалительные процессы в ротовой полости
- травмы десен и слизистых оболочек
- кандидоз и другие инфекционные процессы
- беременность и лактация
- множественные очаги кариеса
- наличие устаревших пломб, керамических и композитных виниров, коронок
Этапы выполнения процедуры
Перед началом отбеливания врач проводит общий осмотр ротовой полости, определяя наличие кариеса и других состояний, которые могут влиять на результат процедуры. Далее, для эффективного воздействия отбеливающего геля проводится профгигиена, во время которой врач удаляет мягкий налет, зубной камень и полирует поверхность зубов. Далее на десны наносят гель-протектор, который защищает слизистые от воздействия окислителя и излучения лампы.
Главный этап — нанесение отбеливающего геля на основе пероксида и экспозиция под лампой (время фиксируется таймером). После экспозиции гель удаляют, и если пациент хочет сделать оттенок еще ярче — повторно наносят гель и выполняют экспозицию. В финале процедуры пациент оценивает результат отбеливания, а врач дает рекомендации по уходу за улыбкой.
В завершение
Ждем вас на безопасное отбеливание! Запись возможна через форму обратной связи ниже или по номерам:
Филиал на Славутиче: 0 800 331 555
Филиал на Позняках: 0 800 332 555
РЕФЕРТА: сияющая улыбка — это просто!