Чайка Игорь Виталиевич

  • Стоматолог-терапевт
  • Киев, ул. Симферопольская 19/1
    Стоматолог Позняки
  • Киев, ул. Садовая 136-а, буд.2
    Стоматолог Осокорки
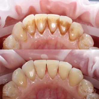
  • Профессиональная гигиена полости рта
  • Фотополимерные реставрации
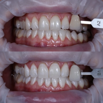
  • Отбеливание
  • Первичная консультация
  • НМУ им А.А.Богомольца, 2014-2017 гг. Медицинская Академия экологии и медицины, специальность стоматология, 2017-2020 гг.
  • НМУ им А.А.Богомольца, врач-интерн, 2020-2022 гг.
  • 2021 - Протоколы фиксации цельнокерамических реставраций
  • 2021 - Практический курс по работе с артикулятором и лицевой дугой
  • 2023 - Первичная и повторная эндодонтия
  • 2023- Курс по дентальной фотографии
  • 2025- Курс по дентальной фотографии Кирила Антоненка

Помогать людям.

Записаться к врачу


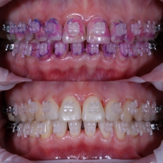
    Работы врача⋅⋅⋅
    Следующая работа
    Следующая работа
    Следующая работа
    Следующая работа
    Следующая работа
    Следующая работа
    Предыдущие работы
    Следующие работы
    Отзывы про врача

    48отзывов

    ⋅⋅⋅
    • Elena Kuksenko
      17.01.2025
      В захваті від роботи Ігоря Віталійовича! Дуже уважний , чесний та реально піклується про реальні проблеми! А ще хочу відмітити неймовірний сервіз! В Києві зустрічаю таке вперше! Рекомендую всім !!!
      • Стоматолог Осокорки
    • Дар'я Колесникова
      26.12.2024
      Я дуже боюся от того бурчання, маю велику психологічну травму дитинства. Йшла до клініки, наче на обстріл. Результат: Чайка Ігорь Віталійович мене швидко заспокоїв, включив мультик та дав іграшку антистрес. Мені 35 рочків 😅
      • Стоматолог Позняки
    • Світлана Lana (Lana)
      30.09.2024
      Окремо хочу поділитись враженнями від реставції зубів у Чайки Ігоря Віталійовича. Мега уважний лікар, все дуже детально, чітко пояснює. Лікування проходить максимально комфортно. Поки ще в процесі усієї необхідної реставрації зубів. Але вже відреставрованими зубом та чищенням від карієсу, ну дуже задоволена) Співвідношення віртість та якість - супер. Ну і звісно, мега уважна та привітна рецепція - то моя окрема любов!)
      • Стоматолог Позняки
    • Ruslana Neshta
      04.09.2024
      Хочу написати відгук про роботу Чайки Ігоря Віталійовича. Дуже обачний лікар, кваліфіковані поради , спокійний, постійно питає про самопочуття, безболісне лікування та прекрасно підібраний колір пломбування на передній зуб. Рекомендую від душі - Він супер ♥️💫
      • Стоматолог Позняки
    • Анна Даниленко
      09.08.2024
      Нарешті зробила всі зубки, без болю і страху, Дякую велике Чайці Ігорю💞❤️ Рекомендую його тим хто дуже боїться, все не так страшно!😊✨👍
      • Стоматолог Осокорки
    Другие врачи стоматологии РЕФЕРТА Все врачи⋅⋅⋅
    Уманец Дмитрий Андреевич
    Стоматолог-терапевт
    Стоматолог Осокорки
    32отзыва
    Следующий врач
    Кириленко Юрий Викторович
    Стоматолог-имплантолог, Стоматолог-хирург
    Стоматолог Позняки
    Стоматолог Осокорки
    30отзывов
    Следующий врач
    Горбунов Андрей Андреевич
    Стоматолог-ортопед
    Стоматолог Позняки
    Стоматолог Осокорки
    23отзыва
    Следующий врач
    Малышко Роман Николаевич
    Стоматолог-ортопед, Стоматолог-терапевт, Стоматолог-эндодонтист
    Стоматолог Позняки
    29отзывов
    Следующий врач
    Ганжа София Игоревна
    Стоматолог-терапевт, Стоматолог-пародонтолог
    Стоматолог Осокорки
    33отзыва
    Следующий врач
    Чайка Игорь Виталиевич
    Стоматолог-терапевт
    Стоматолог Позняки
    Стоматолог Осокорки
    48отзывов
    Следующий врач
    Волочай Юрий Александрович
    Стоматолог-имплантолог, Стоматолог-хирург, Стоматолог-ортопед
    Стоматолог Осокорки
    12отзывов
    Следующий врач
    Тюрменко Марина Игоревна
    Стоматолог-терапевт, Стоматолог-эндодонтист
    16отзывов
    Следующий врач
    Свириденко Александр Владимирович
    Детский стоматолог
    Стоматолог Позняки
    15отзывов
    Следующий врач
    Шара Валерия Григорьевна
    Стоматолог-терапевт
    Стоматолог Позняки
    16отзывов
    Следующий врач
    Кириленко Валентина Сергеевна
    Стоматолог-терапевт, Стоматолог-пародонтолог, Стоматолог-гигиенист
    Стоматолог Позняки
    4отзыва
    Следующий врач
    Мазур Евгений Викторович
    Ортодонт
    Стоматолог Осокорки
    2отзыва
    Следующий врач
    Предыдущие врачи
    Следующие врачи
    У Вас возникли вопросы? Оставьте номер телефона!
    Мы перезвоним Вам через несколько минут!


      Контакты⋅⋅⋅
      Киев, ул. Симферопольская 19/1
      Стоматолог Позняки
      Проложить маршрут
      Пн. - Пт. 9:00 - 20:00
      Сб. 9:00 - 17:00
      Вс. Вихідний
      0 800 332 555 Детальнее о филиале
      Стоматология РЕФЕРТА на Позняках
      Киев, ул. Садовая 136-а, буд.2
      Стоматолог Осокорки
      Проложить маршрут
      Пн. - Пт. 9:00 - 20:00
      Сб. 9:00 - 17:00
      Вс. Вихідний
      0 800 331 555 Детальнее о филиале
      Стоматология РЕФЕРТА на Славутиче
      Оставить отзыв


        Запись на курс


          Благодарим за обращение!

          Ваша заявка принята, свяжемся в ближайшее время.

          Благодарим за отзыв!

          Мы делаем все, чтобы превосходить Ваши ожидания :)

          Спасибо, что выбираете учебный центр РЕФЕРТА!

          Администратор свяжется с вами в ближайшее время для обсуждения деталей.

          Наверх