Горбунов Андрій Андрійович фото

Горбунов Андрей Андреевич

  • Стоматолог-ортопед
  • Киев, ул. Симферопольская 19/1
    Позняки
  • Киев, ул. Садовая 136-а, буд.2
    Осокорки
  • Протезирование съемными и несъемными конструкциями
  • Установка виниров
  • Эстетическая и функциональная реабилитация пациентов с помощью керамических реставраций

НМУ им. А. А. Богомольца, 2018 год, специализация - ортопедия

  • 2019- Первичная эндодонтия В.Весна
  • 2023- Первичная эндодонтия.Весна
  • 2023- Вторичная эндодонтия В.Весна 2020- Виниры. Начало. Часть 1. Прокопович. В
  • 2020- Виниры. Начало. Часть 2. Прокопович. В
  • 2019- Возможности керамических реставраций. Виниры. 3M Health Care Academy
  • 2017- Подготовка военнослужащего по тактической медицине. Украинская военно-медицинская академия
  • 2021- Особенности эстетической реставрации - анализ возможных ошибок. Мир адгезии. Адгезивные системы. Pearl stom.
  • 2021- Реставрация корневых каналов стекловолоконными штифтовыми конструкциями. Методики их фиксации. Восстановление коронковой части зуба: современный подход в решении проблемы. Pearl stom.
  • 2019- Топ 6 ошибок при проведении профессиональной гигиены рта. Эффективная SRP - техника выполнения и принципы работы ручными инструментами.
  • 2020- Неотложная помощь в стоматологической практике. Fenestra. Dental education center.
  • 2021- Практический курс по работе с артикулятором и лицевой дугой. А. Геочкян
  • 2023- Курс по дентальной фотографии Кирила Антоненка

Больше всего люблю процедуру тотального протезирования, когда пациенту возвращается физиологическая и сияющая улыбка.

Записаться к врачу


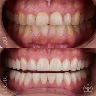
    Работы врача⋅⋅⋅
    Следующая работа
    Следующая работа
    Следующая работа
    Следующая работа
    Следующая работа
    Следующая работа
    Следующая работа
    Следующая работа
    Следующая работа
    Следующая работа
    Следующая работа
    Следующая работа
    Следующая работа
    Следующая работа
    Предыдущие работы
    Следующие работы
    Отзывы про врача

    24отзыва

    ⋅⋅⋅
    • Рома Конік
      15.12.2025
      Дуже гарна клініка. Лікуємося всією сімʼєю ))) привітний персонал. Горбунов Андрій чудовий лікар.
      • Позняки
    • Игорь Багрий
      07.11.2025
      Відвідування цієї стоматології залишило лише позитивні враження! 👏 Персонал привітний, уважний і професійний. З першої хвилини відчуваєш турботу та комфорт. Лікар Горбунов Андрій детально пояснював кожен етап лікування, пропонував кілька варіантів і завжди дбав про те, щоб процедура була безболісною. Рекомендую
      • Позняки
    • Станислав Сыроватка
      27.10.2025
      Андрій Горбунов майстер своєї справи!
      • Позняки
    • Ganna
      09.10.2025
      Дуже задоволена співпрацею з чудовим лікарем Андрієм Андрійовичем Горбуновим. Уважний до деталей, професіонал своєї справи. Дякую вам за чудову посмішку!
      • Осокорки
    • Elena S
      29.07.2025
      Звернулася до клініки на консультацію зі складанням плану лікування. Лікар Горбунов Андрій справив дуже хороше враження: уважний, спокійний, пояснив усе чітко й доступно, запропонував кілька варіантів лікування, окресливши переваги та можливі ризики кожного. План лікування надіслали згодом. Над подальшими кроками ще розмірковую - рішення потребує часу. Загалом враження від прийому - позитивне.
      • Позняки
    Другие врачи стоматологии РЕФЕРТА Все врачи⋅⋅⋅
    Уманец Дмитрий Андреевич
    Стоматолог-терапевт
    Осокорки
    32отзыва
    Следующий врач
    Кириленко Юрий Викторович
    Стоматолог-имплантолог, Стоматолог-хирург
    Позняки
    Осокорки
    30отзывов
    Следующий врач
    Горбунов Андрей Андреевич
    Стоматолог-ортопед
    Позняки
    Осокорки
    24отзыва
    Следующий врач
    Малышко Роман Николаевич
    Стоматолог-ортопед
    Позняки
    29отзывов
    Следующий врач
    Ганжа София Игоревна
    Стоматолог-терапевт, Стоматолог-пародонтолог
    Осокорки
    33отзыва
    Следующий врач
    Чайка Игорь Виталиевич
    Стоматолог-терапевт
    Позняки
    Осокорки
    48отзывов
    Следующий врач
    Свириденко Александр Владимирович
    Детский стоматолог
    Позняки
    16отзывов
    Следующий врач
    Шара Валерия Григорьевна
    Стоматолог-терапевт
    Позняки
    18отзывов
    Следующий врач
    Кириленко Валентина Сергеевна
    Стоматолог-терапевт, Стоматолог-пародонтолог, Стоматолог-гигиенист
    Позняки
    4отзыва
    Следующий врач
    Мазур Евгений Викторович
    Ортодонт
    Осокорки
    2отзыва
    Следующий врач
    Тищенко Юлия Олеговна
    Стоматолог-эндодонтист
    Позняки
    1отзыв
    Следующий врач
    Малышко Виктория Станиславовна
    Следующий врач
    Предыдущие врачи
    Следующие врачи
    У Вас возникли вопросы? Оставьте номер телефона!
    Мы перезвоним Вам через несколько минут!


      Контакты⋅⋅⋅
      Киев, ул. Симферопольская 19/1
      Позняки
      Проложить маршрут
      Пн. - Пт. 9:00 - 20:00
      Сб. 9:00 - 17:00
      Вс. Вихідний
      0 800 332 555 Детальнее о филиале
      Стоматология РЕФЕРТА на Позняках
      Киев, ул. Садовая 136-а, буд.2
      Осокорки
      Проложить маршрут
      Пн. - Пт. 9:00 - 20:00
      Сб. 9:00 - 17:00
      Вс. Вихідний
      0 800 331 555 Детальнее о филиале
      Стоматология РЕФЕРТА на Славутиче
      Оставить отзыв


        Запись на курс


          Благодарим за обращение!

          Ваша заявка принята, свяжемся в ближайшее время.

          Благодарим за отзыв!

          Мы делаем все, чтобы превосходить Ваши ожидания :)

          Спасибо, что выбираете учебный центр РЕФЕРТА!

          Администратор свяжется с вами в ближайшее время для обсуждения деталей.

          Наверх