Фиссурный кариес относится к распространенным стоматологическим проблемам, особенно у детей и подростков, хотя нередко диагностируется и у взрослых. Начальная стадия нередко протекает без симптомов, а при углубленном разрушении дентина помимо пломбирования потребуется сложное восстановление.
Что такое фиссуры и почему они требуют внимания?
Фиссуры – естественные бороздки на жевательных поверхностях моляров и премоляров, предназначенные для измельчения пищи. Их глубина и форма определяется индивидуальным строением. У некоторых пациентов фиссуры широкие и пологие, поэтому легко промываются слюной и очищаются зубной щеткой. Такие люди не подвержены множественному кариесу жевательных поверхностей. У других же углубления узкие, извилистые, что приводит к задержке частиц пищи и размножению бактерий даже при регулярной гигиене.

Как развивается фиссурный кариес?
Первый этап – деминерализация эмали. В фиссурной зоне можно заметить матовый участок или темную линию. Из-за сложного рельефа пациент редко обращает внимание на изменения. Своевременное выявление у взрослых затрудняется пигментацией от кофе, особенно если пренебрегать профессиональной гигиеной в стоматологии. Без своевременных мер разрушается дентин, а после воспаляется нерв. В итоге пациент обращается к врачу с жалобами на сильную боль.
Эмаль молочных зубов у детей меньше минерализована от природы. Смешанный прикус в подростковом возрасте также под угрозой, ведь из-за гормональных изменений в активной фазе роста иммунитет не всегда справляется с внешними угрозами. Сознательное отношение к ежедневной гигиене также не полностью сформировано, поэтому фиссурный кариес у пациентов младшего возраста наблюдается чаще.

Симптомы
Ключом к ранней диагностике выступает профилактический осмотр минимум два раза в год. Взрослые с нарушением прикуса находятся в повышенной группе риска.
Другие признаки, которые могут указывать на фиссурный кариес:
- потемнение, изменение цвета в виде загрязненных фигурных линий и точек на жевательных участках;
- кратковременная боль при сжатии зубов;
- реакция на сладкое, холодное, горячее.
После перехода в среднюю стадию кариес приобретает классический вид полости, поэтому диагностируется без затруднений.
Лечение фиссурного кариеса во взрослом возрасте
Тактика выбирается по степени разрушения тканей:
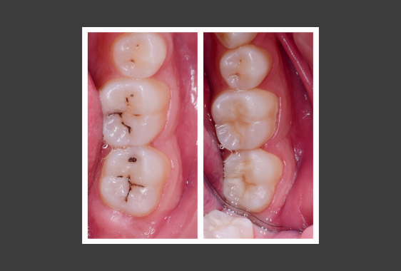
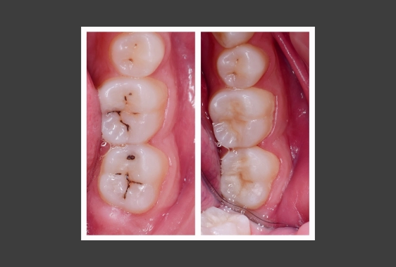
- Пломбирование. Применяется при небольших и умеренных повреждениях. Инфицированные ткани удаляются бором, полость заполняется композитом в тон эмали. В случае заполнения большой полости поверхность моляра становится прямой.
- Художественная реставрация. Предусматривает воссоздание естественного рельефа и анатомии, восстанавливает функцию и эстетику. Стоматолог мастерски воссоздает утраченные бугорки и изгибы. Методика нацелена на правильное смыкание зубов, что уменьшает риск перегрузки пломбы и соседних единиц.
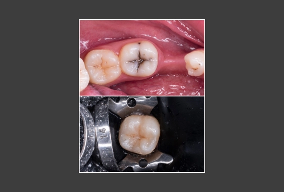
- Керамическая вкладка. Оптимальный выбор при больших кариозных дефектах, когда пломба уже не способна обеспечить достаточную прочность остаточным тканям. В РЕФЕРТА вкладки изготавливают в собственной зуботехнической лаборатории, что гарантирует точность прилегания, совпадение цвета и натуральное воспроизведение рельефа.
Следует отметить, что для полноценного восстановления зуба взрослому пациенту недостаточно просто запломбировать кариозное отверстие. При разрушении анатомических бугорков зуб теряет способность эффективно измельчать пищу и равномерно распределять нагрузку. Правильное восстановление рельефа композитной реставрацией или вкладкой обеспечивает стабильность прикуса и снижает риск повторных повреждений.

Как вылечить фиссурный кариес у ребенка?
Детский стоматолог РЕФЕРТА предложит метод, опираясь на клиническую картину и возраст маленького пациента:
- Герметизация фиссур. Выполняется двумя способами. Неинвазивная процедура проводится на здоровых фиссурах. Поверхности очищают, обрабатывают гелем, заполняют герметиком. Инвазивная методика предусматривает удаление начального фиссурного кариеса бором перед заполнением полостей. Некоторые глубокие бороздки приходится вскрывать даже при отсутствии кариеса, так как их невозможно герметично заполнить из-за сложного строения.
- Пломбирование молочных и постоянных зубов. В детской стоматологии часто применяют фторсодержащие материалы, которые способствуют реминерализации. Постоянные зубы пломбируются по классическому протоколу.
- Эндолечение каналов. Молочные зубы также имеют нервы и каналы, поэтому, когда физиологическая смена еще не скоро, важно продлить срок «жизни» молочной единице. Преждевременная потеря временных зубов приводит к нарушению постоянного прикуса. На ранней стадии возможно сохранение нерва, в других случаях выполняется депульпация.
В целях профилактики проводим гигиеническую чистку профессиональной пастой. На молочном прикусе маленьким детям не применяется ультразвуковой скейлер и аппарат Air Flow.
Заключение
Детская стоматология ориентирована на сохранение зубных тканей до изменения прикуса, профилактику, использование биосовместимых материалов. Взрослым часто требуется комплексное восстановление, включая коррекцию окклюзионных контактов для полноценного жевания и гармоничного внешнего вида.