Існує безліч проблем із прикусом, які потребують індивідуального підходу. Для їх усунення використовуються різноманітні зуботехнічні конструкції, одною з яких є Herbst.
Що таке Гербст?
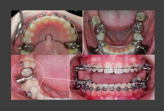
Апарат Гербста – це функціональний ортодонтичний пристрій для виправлення дистального прикусу та стимуляції правильного розвитку щелепи. Конструкція складається з телескопічних механізмів, які фіксуються до зубів верхньої та нижньої щелепи. Виріб кріпиться до коронок, ортодонтичних кілець або до дуг брекет-системи. Будова апарату дозволяє утримувати нижню щелепу висунутою вперед, поступово коригуючи її положення. Пристрій виготовляється індивідуально під пацієнта.

Принцип дії апарату Гербста
Пристрій здійснює плавний постійний тиск на нижню щелепу, поступово висуваючи її вперед. Таким чином можна скорегувати дистальну оклюзію без хірургічного втручання, покращивши естетику профілю.
Функції Herbst:
- стимуляція зростання нижньої щелепи;
- перебудова жувальних м’язів;
- покращення роботи суглобів щелепи;
- формування гармонійного співвідношення зубних рядів.

Навіщо виправляти дистальний прикус?
Дистальний прикус – поширена патологія, при якій верхня щелепа значно висунута вперед відносно нижньої. Вона призводить до неправильного змикання зубів і диспропорцій обличчя. Аномалія виникає через спадковий фактор, шкідливі звички у дитинстві, ротове дихання, неправильне ковтання.
Корекція дистальної оклюзії покращує естетику, нормалізує жувальну функцію, усуває суглобні патології (біль, клацання при змиканні щелепи), забезпечує рівномірне навантаження на зуби. Найкраще лікуватися в дитинстві або підлітковому віці, коли щелепа активно росте, але в деяких ситуаціях можлива установка апарату і в дорослому віці.
Показання до застосування
Гербст рекомендований у таких випадках:
- дистальний прикус (нормальне, глибоке перекриття);
- недорозвинення нижньої щелепи;
- дисфункція скронево-нижньощелепного суглоба;
- ротове, утруднене дихання, нічне апное;
- підготовка до ортодонтичного лікування.
Апарат встановлюється як самостійно, так і в парі з брекетами. В останньому випадку, після корекції положення щелепи пристрій знімають, а брекети залишаються до повного вирівнювання зубів.
Як ставлять апарат Гербст?
Спочатку ортодонт проводить діагностику (рентгенографія, сканування), на основі чого складає індивідуальний план. Після виготовлення апарат фіксується на зубах. Пристрій потрібно носити 6-12 місяців залежно від специфіки випадку. Після зняття призначаються ретейнери для укріплення зв’язок.
Виділяється 3 способи фіксації зуботехнічного пристрою:
- Класичний. За опору виступають металеві коронки на 6-му молярі зверху та 4-му премолярі знизу.
- До брекетів. Апарат приєднується до металевих дуг, що дозволяє одночасно корегувати прикус та переміщувати зуби.
- На пластикову ясенну основу. Цей тип фіксації актуальний, якщо у пацієнта відсутня частина зубів.

Переваги та недоліки апарату Гербста
Переваги Herbst:
- прогнозований, швидкий результат;
- міцність, надійність;
- не потрібно знімати, часто регулювати;
- швидке звикання завдяки малому розміру;
- непомітність через розміщення на задніх зубах;
- легка гігієна;
- заміна хірургічній операції.
До недоліків можна віднести дискомфорт у перші дні носіння, ускладнення мовлення при звиканні, відносно висока ціна.
Де поставити Гербст в Києві?
Стоматологічна клініка РЕФЕРТА спеціалізується на корекції ортодонтичних патологій будь-якої складності різноманітними зуботехнічними пристроями. В нас можна замовити та встановити апарат Гербста за доступною вартістю, а також сучасні брекети та елайнери. Виготовлення пристрою відбувається у нашій власній зуботехнічній лабораторії з урахуванням анатомічних особливостей пацієнта. Професійний супровід ортодонта на всіх етапах лікування забезпечує ефективний результат.