Карієс – найпоширеніше стоматологічне захворювання у будь-кому віці. Діти, у яких тільки починають прорізуватися молочні зуби, не є винятком. Збереження молочних зубів є надважливою задачею. Цей матеріал допоможе батькам вчасно виявити пляшковий карієс у дитини та прийняти необхідні заходи для здоров’я ротової порожнини.
Пляшковий карієс – що це?
Терміном «пляшковий карієс» позначається не конкретний вид захворювання, а його походження. Зустрічаються альтернативні назви: «кефірний», «молочний» тощо. Карієс сам по собі є ураженням емалі та дентину. Пляшковий умовний різновид позначає, що хвороба виникає через годування дитини в ранньому віці з пляшечки.
Офіційна стоматологічна назва захворювання – циркулярний карієс. Він вражає переважно молочні зуби в пришийковій зоні, а в запущених випадках охоплює всю коронкову частину. Патологія діагностується у віці 1-4 років. Найчастіше ураженню піддаються передні різці та ікла.
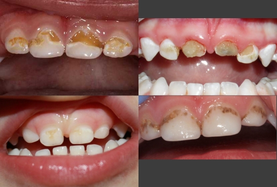
Розпізнати пляшковий карієс на зубах можна за такими ознаками:
- потемніння;
- коричневі плями;
- каріозні порожнини.

Класифікація і симптоми пляшкового карієсу
На різних стадіях захворювання проявляється різною симптоматикою. Виділяються наступні етапи розвитку пляшкового карієсу:
- Початковий. Відбувається демінералізація емалі, яка супроводжується появою білих плям. Дитина не відчуває дискомфорту.
- Поверхневий. З’являються помітні темні цятки, які свідчать про руйнування емалі.
- Середній. Хвороба просувається у дентин. Під час вживання їжі та пиття дитина вередує, плаче, нервує, бо відчуває гострий біль.
- Глибокий. Значне руйнування зубних тканин супроводжується постійним болем. Малюк може відмовлятися від їжі. На зубах помітні чорні плями та порожнини.

Вище перелічені стадії хвороби можуть прогресувати як повільно, так і стрімко. Щоб виявити відхилення на стадії їх появи, важливо не пропускати планові огляди у дитячого стоматолога.
Чому з’являється пляшковий карієс?
В маленькому віці діти часто хворіють, на лікування йде багато часу та сил. Імунітет знаходиться на стадії формування. Паралельно в цей період активно ростуть зубки. Якщо не приділити уваги їх чищенню, на поверхні накопичується наліт. Традиційний раціон малюків – каші, молочні суміші. Лактоза змінює склад мікрофлори в роті. В результаті виникає пляшковий карієс.
Серед причин пляшкового карієсу наступне:
- відсутня або недостатня гігієна (чистити треба навіть декілька зубів, а не коли виростуть всі);
- неправильне грудне вигодовування, нічне годування, напування солодкими напоями перед сном;
- брак мікроелементів, що формують емаль (кальцій, фтор, фосфор);
- передача бактерій від батьків через ложки, посуд;
- зниження імунітету через супутні хвороби;
- вроджені патології емалі, слинних залоз.
Лікування пляшкового карієсу у дітей
Дитяча стоматологія пропонує наступні методи:
- Ремінералізація емалі. На початковій стадії достатньо зробити професійну чистку та нанести спеціальний розчин. Після процедури лікар додатково призначить гелі для домашнього застосування.
- Пломбування. Зубні порожнини очищуються від зруйнованих тканин і бактерій, закриваються фотокомпозитними пломбами.
- Дитяче протезування. В рідкісних випадках руйнування зубів на понад 50%, коронкові частини доводиться відновлювати штучно. Дитячі протезні конструкції мають свою специфіку. До цього методу вдаються в разі ранньої руйнації, коли постійні зуби виростуть ще не скоро.
Найчастіше батьки звертаються, коли дитина проявляє ознаки дискомфорту, а каріозні ураження вже досить помітні. Не варто запускати ситуацію, адже інвазивні методики важкі до психологічного сприйняття та потребують більших коштів. Регулярний плановий огляд не викликає у малечі страху і дозволяє зекономити на складному лікуванні. В разі значних зубних проблем краще проводити лікування у медикаментозному сні.

Що буде, якщо не лікувати пляшковий карієс?
Дитячі стоматологи «Реферта» вкотре наголошують на важливості лікування молочних зубів. Від цілісності зубного ряду залежить прикус, симетрія обличчя, стан ШКТ. Окрім фізіологічних відхилень, дитина може піддаватися висміюванню зі сторони однолітків через хворобливі зуби чи їх відсутність, що призводить до психологічних травм.
Можливі наслідки при відсутності лікування пляшкового карієсу:
- біль, що заважає нормальному розвитку;
- дефекти мовлення;
- запалення ясен;
- випадіння зубів;
- викривлення, зміщення інших зубних одиниць через часткову адентію;
- проблематичне прорізування постійних зубів.
Карієс при зміні молочних зубів загрожує контактним зараженням. Коли постійний зуб прорізується під ураженим молочним, він може вирости хворим. Розвиток карієсу на молочних зубах здатен перерости в пульпіт, гнійні запалення.
Профілактика раннього карієсу молочних зубів
Щоб запобігти появі пляшкового карієсу, дантисти надають такі рекомендації:
- Доглядайте за зубами з моменту їх прорізування, навіть якщо це 1 зуб.
- Дотримуйтеся режиму харчування.
- Зменшуйте кількість нічних годувань з 8 місяців за допомогою прикормів.
- Поступово вводьте в раціон тверді продукти: терті яблука, моркву.
- Контролюйте режим пиття солодких напоїв з пляшки.
- Регулюйте кількість вживання кондитерських виробів, випічки.
- Проходьте профілактичні огляди щонайменше 2 рази на рік, а краще кожні 4 місяці.