Восстановлением анатомической формы и функциональности зубов занимается направление стоматологии под названием ортопедия. Каждая клиническая ситуация индивидуальна, поэтому под протезирование подпадают зубы с повреждениями разной степени. Казалось бы, керамические виниры для эстетической коррекции минимальных повреждений и монтаж коронок на имплантах – совершенно разные процессы, но все они объединены одной стоматологической отраслью. Рассмотрим подробнее каждый метод восстановления.

Виниринг – совершенная улыбка с минимальными усилиями
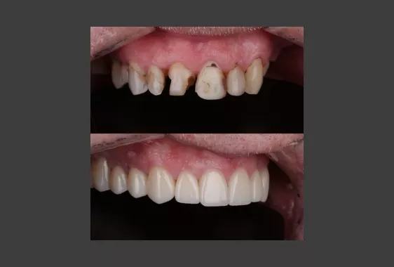
Установка керамических виниров представляет собой микропротезирование. Накладки покрывают только внешнюю сторону зубных коронок. Во время монтажа требуется минимальная обточка эмали. Пациент имеет возможность выбрать оттенок, структуру поверхности, форму. Виниры изготавливаются на прогрессивном оборудовании с минимальным вмешательством человека, что обеспечивает высокую точность. Оценить вид будущей улыбки на себе можно еще до начала протезирования благодаря компьютерной модели. Примерки помогают понять, как будут ощущаться обновленные зубы.
Виниры – быстрый и комфортный путь к заветной улыбке. Далеко не каждый человек выиграл в генетической лотерее белый цвет эмали и пропорциональную форму зубов. Конечно, сначала можно попробовать отбеливание, художественную реставрацию, однако более надежным решением является виниринг.

Когда выбрать виниры?
Показания к винирам:
- нежелательный естественный оттенок эмали;
- приобретенные пятна;
- крупные пломбы, портящие вид улыбки;
- скалывание краев коронок;
- небольшие трещины, неровности эмали;
- желание улучшить форму, скорректировать длину коронковых частей;
- широкие межзубные промежутки.
Минимальное количество керамических накладок для гармоничного вида – от 4 единиц. По желанию можно скорректировать улыбку полностью, включая видимые боковые зубы.

Коронки – воссоздание и замещение сильно разрушенных зубов
Коронки используются для восстановления разрушенных или значительно ослабленных зубов, которые невозможно восстановить пломбами. Их установка возможна при наличии крепкого корня. Ранее коронки ставили исключительно на депульпированные зубные единицы. Сейчас технологии позволяют производить очень тонкие коронки Киев, не требующие значительной обточки, поэтому ими можно покрывать даже «живые» зубы. Коронку ставят на культю или абатмент на импланте.
Несмотря на мифы о быстрой порче дентина, протезные конструкции наоборот продлевают жизнь поврежденным зубам. Покрытие депульпированного зуба коронкой защитит от агрессивного внешнего воздействия и корректирует потемнение.

Съемное протезирование
Устойчивый спрос на съемные протезы обусловлен доступной ценой и возможностью восстановления жевательной функции пациентам с противопоказаниями к имплантации. На сегодня наибольшее распространение получили следующие виды:
- Полные съемные протезы. Замещают зубной ряд на верхней, нижней или обеих челюстях при полной адентии. Бывают пластиковыми и нейлоновыми. Держатся во рту вакуумом или клеятся к слизистым оболочкам.
- Протезы-бабочки. Ортопедические конструкции для замещения 1-2 расположенных рядом зубов. Их можно носить временно на время ожидания имплантации или постоянно. Протез обязан своим названием креплениям, напоминающим крылья бабочки. Кламмеры могут быть металлическими, нейлоновыми, акриловыми.
- Бюгельные протезы. Изделия с металлической основой, которая равномерно распределяет жевательную нагрузку на челюсть. Фиксируются на опорные зубы. Носятся до 10 лет.
Керамические вкладки на зубы
Избавиться от локального дефекта зуба можно с помощью керамической накладки. Метод частичного восстановления применяется при разрушении кариесом верхних частей жевательных зубов. Ставить большую пломбу в жевательной зоне не всегда целесообразно. Если нижняя часть коронки сохранена, не обязательно покрывать коронкой всю плоскость. Керамическая вкладка является, так сказать, средним звеном между пломбой и коронкой. Если пломбирование происходит непосредственно во рту пациента, вкладки изготавливаются в зуботехнической лаборатории, а затем фиксируются на стоматологический цемент.
Качественное протезирование в «Реферта»
Зубной протез любого вида и конфигурации должен быть физиологичным, износостойким, привлекательным и долговечным. Получить квалифицированные ортопедические услуги можно в филиалах стоматологии «Реферта» в Киеве. В нашем распоряжении собственная зуботехническая лаборатория, в которой изготавливаются керамические протезы. Мы контролируем каждый этап – от создания 3D модели до финальной фиксации, гарантируем качество и эстетичный вид. Стоматолог Позняки ждет вас на первичную консультацию, на которой оценит состояние ваших зубов и предложит возможные пути исправления несовершенств.