Реставрация керамическими коронками
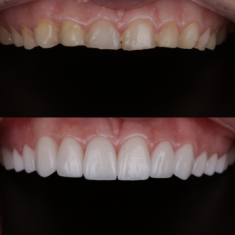
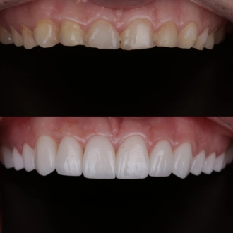
Реставрация коронками это современный, быстрый и физиологический метод реставрации утраченных или значительно поврежденных зубов. Кроме эстетических и функциональных преимуществ, восстановление коронками позволяет избежать смещения соседних зубов, развития аномалий прикуса и других осложнений. В сети стоматологий РЕФЕРТА все керамические реставрации (коронки, виниры, накладки) изготавливаются в собственной зуботехнической лаборатории. Вы можете быть уверены в исключительном качестве каждой работы, а приятные цены на коронки помогут вам быстрее принять решение о реставрации.

Преимущества реставрации зубов керамическими коронками
- Сохранение прикуса
- Эстетическая реставрация благодаря естественному виду
- Восстановление функциональности утраченного зуба
- Долговечность
- Простота ухода за зубами
- Отсутствие риска отторжения реставрации
Показания для реставрации коронками
Керамические коронки используются для восстановления линии улыбки вследствие потери зубов, значительного повреждения коронковой части или разрушения зуба после денервации. Цельнокерамические коронки имеют особый потенциал в восстановлении утраченных зубов главным образом благодаря своей эстетичности и прочности.
Методы фиксации керамических коронок
Первый способ фиксации керамической коронки заключается в ее креплении на обработанный и отполированный остаток коронки зуба. Это быстрый и физиологический метод реставрации, который помогает восстановить улыбку при травмах или значительном поражении кариесом поверхности зуба.
Другой, более надежный и лучший способ фиксации коронок — это установка их на абатмент предварительно установленных имплантатов. Они имитируют утраченные корни естественных зубов и являются основой для крепления соответствующей реставрации. Имплантаты изготовлены из нейтральных для организма материалов (титан и т.д.), благодаря чему они легко интегрируются в костную ткань ротовой полости не вызывая реакций отторжения. Реставрация коронками на имплантах обеспечивает возвращение полноценного качества жизни и уверенной улыбки пациентам даже со сложной клинической историей.
Этапы установки коронок
Во время первого визита врач проводит общий осмотр и профгигиену ротовой полости. После этого стоматолог обтачивает выбранный зуб, подготавливая поверхность к закреплению коронки. Процедура обточки проводится под местной анестезией и является абсолютно безболезненной. Затем стоматолог снимает слепок и отправляет его в зуботехническую лабораторию. Визит завершается установкой временной коронки, которая обеспечивает эстетический вид и функциональность, пока постоянная коронка будет изготавливаться в лаборатории. Во время второго визита, после примерки и осмотра готовой коронки, стоматолог фиксирует ее с помощью специального цемента и выполняет фотофиксацию.
В случае, если коронка фиксируется на абатменте имплантата — временная и постоянная коронка фиксируются на обнаженной титановой поверхности имплантата.
Преимущества реставрации коронками в РЕФЕРТА
- Изготовление в собственной зуботехнической лаборатории
- Гарантия на все керамические реставрации
- Полный цикл выполнения процедуры — от диагностики до фиксации
- Опытные врачи
- Лучшие цены на все виды керамических реставраций
В заключение
Запишитесь на консультацию к ортопеду РЕФЕРТА через форму обратной связи ниже или по номерам:
Филиал на Славутиче: 0 800 331 555
Филиал на Позняках: 0 800 332 555
РЕФЕРТА: идеальная улыбка — это просто!