Керамические виниры⋅⋅⋅
Стоимость услуг
Комплексная консультация ортопеда с составлением плана лечения 500
Установка винира, E-max 13950
Цифровое моделирование дизайна улыбки (1 челюсть) 1040
Установка полевошпатного винира 17010
Запись на прием


    Просмотреть весь прайс услуг Монетка Зуб
    Монитор
    Онлайн діагностика

    Отримай діагноз за 1 хвилину

    Пройти тест
    Реставрация керамическими винирами в РЕФЕРТА⋅⋅⋅
    • Осмотр и диагностика
    • Создание восковой модели
    • Примерка воскапа
    • Препарация поверхности зубов
    • Установка временных коронок
    • Изготовление виниров в собственной лаборатории
    • Примерка и фиксация керамических виниров
    • Фотопротокол
    • Контрольный осмотр
    • Осмотр и диагностика
    • Создание восковой модели
    • Примерка воскапа
    • Препарация поверхности зубов
    • Установка временных коронок
    • Изготовление виниров в собственной лаборатории
    • Примерка и фиксация керамических виниров
    • Фотопротокол
    • Контрольный осмотр
    Врачи специализации ортопедия Все врачи⋅⋅⋅
    Малышко Роман Николаевич
    Стоматолог-ортопед
    Позняки
    29отзывов
    Следующий врач
    Горбунов Андрей Андреевич
    Стоматолог-ортопед
    Позняки
    Осокорки
    30отзывов
    Следующий врач
    Предыдущие врачи
    Следующие врачи
    Популярные вопросы
    +Что лучше композитные или керамические виниры?
    Выбор между композитными и керамическими винирами зависит от конкретных потребностей и пожеланий пациента. Эти методы реставрации различаются по следующим параметрам: - Композитные виниры: более экономичный вариант, быстрее изготавливаются, имеют меньший срок службы и менее естественный вид. - Керамические виниры: имеют исключительно естественный цвет и структуру, устойчивы к воздействию внешних факторов, имеют длительный срок службы.
    +Сколько служат керамические виниры?
    Керамические виниры обычно могут прослужить от 15 лет или даже больше при должном уходе и регулярных профилактических посещениях стоматолога.
    +Как ухаживать за керамическими винирами?
    Рекомендуется пользоваться зубной щеткой с мягкой щетиной и ирригатором. Абразивные порошки и пасты запрещены. Тщательно вычищайте место стыка между зубными тканями и виниром.
    +Можно ли снять виниры?
    Виниры снимают только для замены на новые по сроку ношения или при случайной поломке. При их установке обтачивается эмаль, поэтому вернуть зубы в состояние до протезирования невозможно.
    +Можно ли ирригатор с винирами?
    Да, ирригатор подходит пациентам с винирами, коронками, брекетами, мостовидными протезными конструкциями, в отличие от зубной нити. Ирригатор не раздражает слизистые оболочки, может использоваться при чрезмерной чувствительности десен.
    +Портятся ли зубы под винирами?
    Нет, наоборот, виниры защищают внешнюю поверхность зубов. Однако на непокрытых винирами участках может появиться кариес. Места стыков накладок с зубами требуют тщательного ухода.
    +Что делать, чтобы виниры служили дольше?
    В первую очередь, придерживаться рекомендаций по питанию и уходу. Профессиональная гигиена и плановый осмотр для профилактики кариеса 1 раз в 6 месяцев поможет продлить срок эксплуатации виниров.
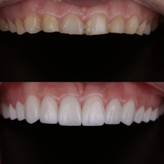
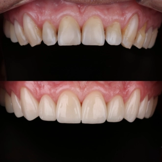
    До и после процедуры⋅⋅⋅
    Другие услуги направления ортопедия⋅⋅⋅
    У Вас возникли вопросы? Оставьте номер телефона!
    Мы перезвоним Вам через несколько минут!


      Керамические виниры в Киеве

      Когда вы видите телеведущих или кинозвезд, вы наверняка задавались вопросом «В чем секрет их идеальной улыбки?». Генетика? Отбеливание? Или установка керамических виниров?

      Да, керамические виниры являются современным методом создания идеальной и естественной улыбки. В собственной зуботехнической лаборатории РЕФЕРТА мы изготавливаем качественные виниры из керамики, которые имеют длительный срок службы, максимально естественный вид и просты в уходе. Приходите на осмотр к ортопеду-стоматологу, и узнайте, как будет выглядеть ваша голливудская улыбка после реставрации винирами.

      Что такое керамические виниры?

      Керамические виниры напоминают очень тонкие пластинки из фарфора. Их толщина варьируется от 0,4 до 0,8 мм, и именно под этот размер слегка обтачиваются зубы, подлежащие обтачиванию. Виниры крепятся с помощью специального стоматологического клея, который гарантирует, что они прочно и надежно держатся в ротовой полости. Реставрация винирами может сочетаться с другими методами реставрации, например протезированием на имплантах с установкой коронок.

      Показания и противопоказания к процедуре

      Благодаря керамическим винирам можно исправить цвет, форму или размер зубов, скрыть диастему.

      Однако нужно знать, что существует много противопоказаний для реставрации винирами:

      • чрезмерное количество пломб или глубокий кариес
      • небольшая плоскость коронковой части зуба, что затрудняет установку винира
      • бруксизм
      • неправильный прикус
      • привычка грызть твердые предметы и т.д.

      Этапы установки виниров

      Консультация и фотопротокол

      Первичный этап, во время которого врач определяет и фиксирует текущее состояние зубов.

      КТ и ТРГ

      Инструментальная диагностика, которая помогает на трехмерной модели оценить состояние зубов, контактных поверхностей и корней зубов. Опираясь на результаты лучевой диагностики врач определяет необходимость терапевтического, хирургического или ортодонтического лечения, ведь зубы устанавливаются только на здоровые зубы.

      Диагностическое сканирование с прогнозированием формы виниров

      Интраоральное трехмерное сканирование создает анатомически точную трехмерную модель челюстей пациентов, что помогает наглядно определить направление реставрации и увидеть желаемый конечный результат.

      Воксап

      В зуботехнической лаборатории моделируется восковая модель будущих виниров, на основе которой будет создан керамический винир.

      Мокап (примерка воксапа)

      Врач демонстрирует пациенту восковую модель.

      Обработка зубов, сканирование, временные коронки

      Если примерка мокапа прошла успешно и пациента устраивает результат — происходит препарация коронки собственного зуба, повторное сканирование препарированных зубов и установка временных коронок.

      Изготовление виниров в собственной зуботехнической лаборатории

      Постоянные керамические виниры изготавливаются в зуботехнической лаборатории опираясь на результаты цифрового сканирования и ранее созданной трехмерной модели.

      Каждый винир в РЕФЕРТА изготавливается на 3D принтере из материалов премиального качества. Печать на трехмерном принтере обеспечивает анатомическую точность при естественном виде каждой реставрации. Созданный винир шлифуется и окрашивается зубным техником вручную, что обеспечивает естественный цвет и текстуру винира.

      Примерка и фиксация

      На контрольной примерке пациент оценивает общий вид улыбки после реставрации, и если результат его удовлетворяет — виниры фиксируются на поверхности обработанных зубов. Специальный фиксатор обеспечивает исключительно прочное закрепление винира на поверхности зуба, что исключает его отделение или развитие кариеса под керамической реставрацией.

      Контрольный фотопротокол

      Конечный результат фиксируется во время фотопротокола и прилагается к индивидуальной карте пациента.

      Контрольный осмотр

      Через несколько месяцев после фиксации пациент должен посетить контрольный осмотр и, при необходимости, профессиональную гигиену полости рта. Помните, что регулярные осмотры у вашего врача являются залогом сохранения здоровья улыбки и длительного срока службы виниров.

      Сколько стоят керамические виниры?

      Стоимость виниров из керамики зависит от следующих факторов:

      • количество и тип реставраций
      • тип винира
      • объем диагностики и необходимость предварительного терапевтического, ортодонтического или хирургического лечения

      Приходите на осмотр к РЕФЕРТА, и получите развернутый индивидуальный план реставрации с указанием стоимости процедуры.

      Корисна інформація⋅⋅⋅
      Выпала или сломалась коронка – что делать?

      Выпала или сломалась коронка – что делать?

      Читать статью
      Что портит зубные коронки и протезы?

      Что портит зубные коронки и протезы?

      Читать статью
      Восстановление 1-2 отсутствующих зубов – современные решения

      Восстановление 1-2 отсутствующих зубов – современные решения

      Читать статью
      Виниры CEREC – короткий путь к идеальной улыбке

      Виниры CEREC – короткий путь к идеальной улыбке

      Читать статью
      Контакты⋅⋅⋅
      Киев, ул. Симферопольская 19/1
      Позняки
      Проложить маршрут
      Пн. - Пт. 9:00 - 20:00
      Сб. 9:00 - 17:00
      Вс. Вихідний
      0 800 332 555 Детальнее о филиале
      Стоматология РЕФЕРТА на Позняках
      Киев, ул. Садовая 136-а, буд.2
      Осокорки
      Проложить маршрут
      Пн. - Пт. 9:00 - 20:00
      Сб. 9:00 - 17:00
      Вс. Вихідний
      0 800 331 555 Детальнее о филиале
      Стоматология РЕФЕРТА на Славутиче
      Оставить отзыв


        Запись на курс


          Благодарим за обращение!

          Ваша заявка принята, свяжемся в ближайшее время.

          Благодарим за отзыв!

          Мы делаем все, чтобы превосходить Ваши ожидания :)

          Спасибо, что выбираете учебный центр РЕФЕРТА!

          Администратор свяжется с вами в ближайшее время для обсуждения деталей.

          Наверх