| Пн. - Пт. | 9:00 - 20:00 |
| Сб. | 9:00 - 17:00 |
| Вс. | Вихідний |
| Пн. - Пт. | 9:00 - 20:00 |
| Сб. | 9:00 - 17:00 |
| Вс. | Вихідний |
Современные методы диагностики в стоматологии
Комплексная инструментальная диагностика является важной частью эффективного лечения у стоматологов любых специальностей. Объединение результатов инструментального обследования с фотопротоколом и общим осмотром ротовой полости дает врачу комплексное представление о состоянии пациента. Как результат - специалист составляет максимально персонализированную тактику лечения, которую при донесении пациенту аргументирует диагностическими заключениями. Кроме того, комплексное инструментальное обследование помогает выявить заболевания ротовой полости, которые невозможно увидеть при стандартном осмотре, например, патологии корней, новообразования и другие патологии костной ткани и тому подобное.
В сети стоматологий РЕФЕРТА на каждом филиале установлено современное диагностическое оборудование от мировых производителей - Vatech, NewTom GO, 3Shape и др. Собственный диагностический комплекс дает нам уникальную возможность предоставлять пациентам стоматологическую помощь полного спектра и максимально оптимизировать процесс лечения. При необходимости, наши опытные врачи включают инструментальную диагностику в текущую консультацию, предоставляя пациенту максимум информации о его состоянии.

Методы диагностики в стоматологии
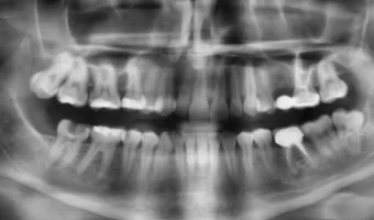
Рентгенография
Стандартный метод лучевой диагностики, благодаря которому можно получить детальные изображения зубов и корней, но в формате 2D снимка. Используется для выявления кариеса контактных поверхностей, воспалительных процессов в корневых каналах, оценки состояния корней и костной ткани челюстей.
Компьютерная томография (КТ)
По сравнению с рентгеном, компьютерная томография предоставляет трехмерные изображения и имеет меньшую лучевую нагрузку. Во время исследования врач получает объемную модель лицевого черепа и может комплексно оценить наличие и положение отдельных зубов, определить важные размеры и пропорции и тому подобное. Именно благодаря компьютерной томографии проводится планирование хирургического вмешательства, процедуры имплантации, ортодонтического лечения и т.д.
Трехмерное сканирование
Этот метод направлен на создание цифровой трехмерной модели челюстей пациента. Сканер с точностью до миллиметра воспроизводит отдельные особенности коронковой части отдельных зубов, их положение, высоту нахождения десен и другие детали. 3D сканирование - незаменимый инструмент перед началом ортопедического лечения, реставрациями винирами, коронками или ортодонтической коррекции элайнерами.
Какие заболевания можно выявить во время обследования?
Лучевая диагностика в стоматологии (КТ, ТРГ и т.д.) может выявить широкий спектр заболеваний, таких как:
- кариес и его осложнения
- острый пульпит
- пародонтит
- кисты
- травмы или воспаление костной ткани
- отторжение имплантатов
- новообразования ротовой полости, костей челюстей или гайморовых пазух
3D сканирование используется для оценки индивидуальных особенностей формы и положения зубов, определения степени разрушения коронковой части и прогнозирования перемещения зубов в условиях динамической модели.
Как часто нужно проходить обследование?
По современным рекомендациям, имеющиеся у пациента результаты обследований (результаты ТРГ, КТ и т.д.) теряют свою актуальность через 6 месяцев с момента выполнения. Это связано с:
- возможностью развития нового воспалительного процесса
- возможным формированием новых очагов кариеса
- смещением зубов (например, во время ортодонтического лечения или при наличии активного изменения зубного ряда у детей)
- фактом перенесенного терапевтического или хирургического лечения, процедур имплантации и т.д.
Именно поэтому врачи рекомендуют делать контрольные снимки и сканы в среднем раз в шесть месяцев. Серия снимков поможет оценить лечебный прогресс в динамике и оптимизировать тактику лечения в соответствии с текущим состоянием пациента. Поэтому если вы только начинаете лечение в РЕФЕРТА - вы можете предоставить имеющиеся снимки врачу для рассмотрения или пройти комплексное обследование.
В заключение
Запишитесь на комплексное обследование перед началом лечения через форму обратной связи ниже или по номерам:
Филиал на Славутиче: 0 800 331 555
Филиал на Позняках: 0 800 332 555
РЕФЕРТА: здоровая улыбка - это просто!