Повреждение эмали провоцирует многочисленное количество зубных болезней. Гипоплазия – патологическое состояние эмали, при котором защитное покрытие истончено или отсутствует, из-за чего дентин остается беззащитным перед внешними раздражителями. Отсутствие естественного барьера вызывает эстетические недостатки и стоматологические болезни.
Что нужно знать о гипоплазии эмали?
Эмаль – минерализованная защитная оболочка коронок зубов, которая полноценно формируется в возрасте до 4 лет. Она состоит из минерала гидроксиапатита, который образуется из кальция, натрия, фосфора. Гипоплазия эмали – патология, при которой защитный слой частично либо полностью недоразвит или имеет дефекты. Порок развития вызван нарушением обменных процессов в зубных тканях.
Болезнь встречается на молочных и постоянных зубах, как локально, так и повсеместно. Иногда деструктивный процесс поражает более глубокие структуры, включая дентин и пульпу. Даже при легкой форме гипоплазии повышается риск кариеса.
Симптомы
Заподозрить гипоплазию эмали можно по таким общим признакам:
- изменение цвета;
- острая реакция на раздражители;
- неровности поверхности.
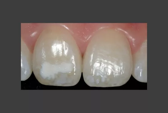
Гипоплазия у детей проявляется изменением цвета, темными или беловатыми пятнами. Зубы могут прорезываться с дефектами, иметь мелкий размер и широкие промежутки. Поверхность эмали покрывается впадинами и бороздами. Наблюдается повышенная чувствительность к температурам, кислым, сладким продуктам.
У взрослых патология характеризуется многочисленным кариесом и пульпитом, ведь бактерии беспрепятственно проникают в дентин. По статистике, около 30% кариозных поражений является результатом гипоплазии.

Почему возникает гипоплазия?
Чаще всего гипоплазия закладывается на этапе формирования плода и в первые месяцы жизни младенца. Первичные аномалии формируются несовершенным амелогенезом – нарушением фазы минерализации. В результате некоторые части зуба полностью оголяются, другие имеют тонкое покрытие.
Причины гипоплазии эмали:
- наследственность (рахит, дерматологические болезни, синдром Ашера, Дауна, заячья губа и другие);
- недостаток витамина A, C, D;
- болезни и вредные привычки матери во время вынашивания (курение, ветрянка, краснуха);
- осложнения во время родов (гипоксия, преждевременные роды);
- плохая экология (некачественная вода, повышенный фон излучения);
- травмы;
- сахарный диабет.
Формирование зачатков постоянных зубов происходит до 2 лет. Инфекционные и системные болезни в этот период способны негативно отразиться на зубах в будущем. Причиной гипоплазии может стать длительное лечение антибиотиками тетрациклиновой группы, передозировка фторидом, болезни ЦНС, ЖКТ, эндокринные нарушения. Истончение эмали в зрелом возрасте провоцируют дефекты прикуса.
Виды
Выделяется 3 стадии гипоплазии:
- Слабая. Выражается пятнами на эмали, чаще всего на передних зубах. Боль, гиперчувствительность отсутствует. Пятна могут долго сохранять размер и форму, не прогрессируя в кариес.
- Средняя. Зубы вырастают с неровной поверхностью, ямками и полосками. Несмотря на диспропорции, они покрыты эмалью полностью, поэтому болевых ощущений нет. Нарушена эстетика улыбки.
- Тяжелая. На определенных участках или зубах эмаль полностью отсутствует, что сопровождается болью, стремительным прогрессированием кариеса.

По месту локализации патология может быть местная (на 1-2 зубах) и системная (на всем зубном ряду). По характеру поражений выделяют ямочную, волновую, пятнистую, линейную формы. Один пациент может иметь несколько типов аномалий одновременно.
Методы лечения гипоплазии эмали зубов
Учитывая, что патология закладывается в раннем возрасте, успех лечения зависит от своевременного обращения родителей к детскому стоматологу. Если ребенок много и часто болеет в период грудного вскармливания, риск нарушений эмали повышается. Подтвердить диагноз можно только в клинике. С помощью дентального микроскопа выявляются минимальные нарушения структуры, невидимые невооруженным глазом.
Лечение гипоплазии заключается в восстановлении целостности и толщины эмали, а в случае ее отсутствия – замене зубопротезной конструкцией. В зависимости от степени выраженности применяются следующие терапевтические методики:
- Реминерализация. Щадящий способ восстановления эмали для детей и взрослых при отсутствии жалоб на боль. Применяется лак с фтором и другими минеральными компонентами. Дополнительно назначаются витаминные комплексы.
- Полировка. Если толщина защитного слоя позволяет, неровности затачиваются и полируются до гладкой поверхности.
- Отбеливание. Подходит лишь при легкой форме. От дефектов цвета можно избавиться безопасным удалением пигмента холодным светом лампы (Beyond Polus).
- Художественная реставрация. С помощью послойного нанесения композита на зуб убираются ямки, выступы, потемнения.
- Восстановление фиссур. Если истончение эмали вызвано стиранием жевательных поверхностей, утраченный объем воссоздается фотополимером.
- Виниры. Эстетические несовершенства маскируются тонкими керамическими накладками.
- Коронки. Полное покрытие зуба применяется при значительных повреждениях или тотальном отсутствии эмали, из-за которого возникает боль.
Выводы
Гипоплазия – серьезное нарушение, требующее лечения. При обнаружении изменений вида эмали необходимо как можно скорее обратиться к стоматологу в любом возрасте. Особого внимания требуют маленькие пациенты, ведь своевременное диагностирование гипоплазии молочных зубов поможет избежать многочисленных проблем с улыбкой в будущем. При раннем выявлении можно восстановить внешнее покрытие зубов неинвазивными методиками.