Тищенко Юлия Олеговна

  • Стоматолог-эндодонтист
  • Киев, ул. Симферопольская 19/1
    Позняки
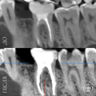
  • Лечение пульпита под микроскопом
  • Лечение периодонтита под микроскопом
  • Перелечивание корневых каналов
  • Удаление фрагментов инструментов из корневых каналов
  • Лечение сложных корневых каналов

Одесский медицинский институт, 2022 г.

2025 Повторное ЭНДО: работа эндодонтиста. Современные стандарты вторичного лечения, В. Каращук

2025 Ступени, облитерации, кривизна: принципы инструментальной обработки каналов, М. Гончарук-Хомин

2025 Протокол инструментирования сложной анатомии корневых каналов, М. Сорухан

2025 Регенеративные и пульпозберегающие эндодонтические вмешательства, М. Гончарук-Хомин

2024 Практическая эндодонтия, С. Геранін и Подильчук Д.

2024 Всеукраинская благотворительная научная конференция "Dental Visionary Forum", г. Тернополь

2024 Конференция Эстетика в стоматологии: мифы и реальность. Украинская Академия Эстетической Стоматологии, г. Киев

2023 Повторное эндодонтическое лечение, С. Геранін

2023 XIX Международная конференция по эндодонтии, г. Киев

2023 Всеукраинская Благотворительная стоматологическая конференция, г. Яремче

2023 Primary Endodontics (первичная эндодонтия), В. Весна

2023 DIRECT ANTERIOR RESTORATION, В. Мальченко

2023 DIRECT POSTERIOR RESTORATION, В. Мальченко

Записаться к врачу

    Роботи лікаря Все работы ⋅⋅⋅
    Следующая работа
    Следующая работа
    Следующая работа
    Следующая работа
    Следующая работа
    Предыдущие работы
    Следующие работы
    Отзывы про врача

    2отзыва

    ⋅⋅⋅
    Другие врачи стоматологии РЕФЕРТА Все врачи⋅⋅⋅
    Уманец Дмитрий Андреевич
    Стоматолог-терапевт
    Осокорки
    32отзыва
    Следующий врач
    Кириленко Юрий Викторович
    Стоматолог-имплантолог, Стоматолог-хирург
    Позняки
    Осокорки
    31отзыв
    Следующий врач
    Горбунов Андрей Андреевич
    Стоматолог-ортопед
    Позняки
    Осокорки
    30отзывов
    Следующий врач
    Малышко Роман Николаевич
    Стоматолог-ортопед
    Позняки
    29отзывов
    Следующий врач
    Чайка Игорь Виталиевич
    Стоматолог-терапевт
    Позняки
    Осокорки
    48отзывов
    Следующий врач
    Свириденко Александр Владимирович
    Детский стоматолог
    Позняки
    24отзыва
    Следующий врач
    Шара Валерия Григорьевна
    Стоматолог-терапевт
    Позняки
    22отзыва
    Следующий врач
    Кириленко Валентина Сергеевна
    Стоматолог-терапевт, Стоматолог-пародонтолог, Стоматолог-гигиенист
    Позняки
    6отзывов
    Следующий врач
    Мазур Евгений Викторович
    Ортодонт
    Осокорки
    8отзывов
    Следующий врач
    Тищенко Юлия Олеговна
    Стоматолог-эндодонтист
    Позняки
    2отзыва
    Следующий врач
    Малышко Виктория Станиславовна
    Следующий врач
    Кушниров Виталий Алексеевич
    Стоматолог-терапевт
    Позняки
    2отзыва
    Следующий врач
    Джетимова Алина Игоревна
    Стоматолог-терапевт, Стоматолог-эндодонтист
    Осокорки
    2отзыва
    Следующий врач
    Предыдущие врачи
    Следующие врачи
    У Вас возникли вопросы? Оставьте номер телефона!
    Мы перезвоним Вам через несколько минут!

      Контакты⋅⋅⋅
      Киев, ул. Симферопольская 19/1
      Позняки
      Проложить маршрут
      Пн. - Пт. 9:00 - 20:00
      Сб. 9:00 - 17:00
      Вс. Вихідний
      0 800 332 555 Детальнее о филиале
      Стоматология РЕФЕРТА на Позняках
      Киев, ул. Садовая 136-а, буд.2
      Осокорки
      Проложить маршрут
      Пн. - Пт. 9:00 - 20:00
      Сб. 9:00 - 17:00
      Вс. Вихідний
      0 800 331 555 Детальнее о филиале
      Стоматология РЕФЕРТА на Славутиче
      Оставить отзыв

        Запись на курс

          Благодарим за обращение!

          Ваша заявка принята, свяжемся в ближайшее время.

          Благодарим за отзыв!

          Мы делаем все, чтобы превосходить Ваши ожидания :)

          Спасибо, что выбираете учебный центр РЕФЕРТА!

          Администратор свяжется с вами в ближайшее время для обсуждения деталей.

          Наверх