Блог⋅⋅⋅

Уход за зубами после отбеливания, установки виниров и коронок

После любых стоматологических процедур, будь то отбеливание или установка протезных конструкций, важно соблюдать специальные рекомендации по уходу. Неправильная гигиена и привычки не только уменьшают эффективность лечения, но и приводят к нежелательным последствиям. Мы ...

Читать дальше

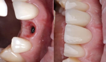
Имплант или сложное лечение поврежденного зуба?

Популярность зубной имплантации стремительно растет. Одновременно возникает риск ошибочного восприятия. В социальных сетях все чаще встречается мнение, что сложный в лечении зуб легче удалить и заменить имплантом. Опытные имплантологи РЕФЕРТА решили дать развернутый ...

Читать дальше

Протезирование – современные методы восстановления зубов

Восстановлением анатомической формы и функциональности зубов занимается направление стоматологии под названием ортопедия. Каждая клиническая ситуация индивидуальна, поэтому под протезирование подпадают зубы с повреждениями разной степени. Казалось бы, керамические виниры для ...

Читать дальше

Металлические или керамические брекеты: какие выбрать для подростка?

Коррекция прикуса в подростковом возрасте вызывает много вопросов. Ребенок уже взрослый, чтобы родители принимали решение без учета его мнения, но и не самостоятельный в финансовом плане. Современная ортодонтия Киев предлагает разнообразные зуботехнические устройства, ...

Читать дальше

Рентген и КТ зубов: показания и специфика

С рентгеном все знакомы с детства, поэтому процедура не вызывает много вопросов. Последние годы прогрессивные стоматологические центры все чаще используют компьютерную томографию для прогнозируемого лечения. Исследование стоит дороже, а также окутано мифами о вредности. ...

Читать дальше

Показания к установке зубных коронок

Для многих пациентов коронки ассоциируются с последней стадией разрушения зубов. Даже существует миф, что после их установки зубы портятся быстрее. Подобные предубеждения приводят к откладыванию лечения, а это чревато потерей зубной единицы. Вероятной причиной заблуждения ...

Читать дальше

Скол зуба у ребенка: первичная помощь и лечение

Травмы зубов у детей – распространенное явление. Чаще всего повреждаются передние зубы в результате падений или ударов о твердые предметы. Несмотря на то, что эмаль является самой твердой тканью организма, детская неосторожность может обернуться зубным сколом. Как ...

Читать дальше

ТОП 10 мифов про керамические виниры

Керамические виниры – легкий и безопасный способ получить безупречную улыбку за короткий срок. Тонкие микронакладки идеально воспроизводят анатомическую форму и надежно фиксируются на зубах. Несмотря на неоспоримые преимущества в восприятии некоторых людей до сих пор ...

Читать дальше

Удаление кисты на корне зуба

Киста зуба – опасная стоматологическая болезнь с малозаметной симптоматикой, которая может привести к адентии. К счастью современные подходы к лечению позволяют сохранить зуб. Новообразование на верхушке корня не является основанием для экстракции. Для остановки ...

Читать дальше

Гипоплазия эмали: причины, симптомы, лечение

Повреждение эмали провоцирует многочисленное количество зубных болезней. Гипоплазия – патологическое состояние эмали, при котором защитное покрытие истончено или отсутствует, из-за чего дентин остается беззащитным перед внешними раздражителями. Отсутствие естественного ...

Читать дальше

Художественная реставрация зубов от А до Я

Получить совершенную улыбку в современной стоматологии можно многими способами, один из которых – художественная реставрация. Именно эта технология устранения приобретенных эстетических дефектов имеет наибольшее количество альтернативных названий, что затрудняет понимание ...

Читать дальше

Зубы мудрости: удалять или оставлять?

Удаление зубов мудрости – противоречивый вопрос современной стоматологии. Одним людям они не доставляют никакого дискомфорта, в то время как другим приходится устранять болезненные последствия и проводить серьезные оперативные вмешательства. Команда «Реферта» собрала ответы ...

Читать дальше
У Вас возникли вопросы? Оставьте номер телефона!
Мы перезвоним Вам через несколько минут!

    Контакты⋅⋅⋅
    Киев, ул. Симферопольская 19/1
    Позняки
    Проложить маршрут
    Пн. - Пт. 9:00 - 20:00
    Сб. 9:00 - 17:00
    Вс. Вихідний
    0 800 332 555 Детальнее о филиале
    Стоматология РЕФЕРТА на Позняках
    Киев, ул. Садовая 136-а, буд.2
    Осокорки
    Проложить маршрут
    Пн. - Пт. 9:00 - 20:00
    Сб. 9:00 - 17:00
    Вс. Вихідний
    0 800 331 555 Детальнее о филиале
    Стоматология РЕФЕРТА на Славутиче
    Оставить отзыв

      Запись на курс

        Благодарим за обращение!

        Ваша заявка принята, свяжемся в ближайшее время.

        Благодарим за отзыв!

        Мы делаем все, чтобы превосходить Ваши ожидания :)

        Спасибо, что выбираете учебный центр РЕФЕРТА!

        Администратор свяжется с вами в ближайшее время для обсуждения деталей.

        Наверх